Case Report
 
Malignant pleural mesothelioma with metastases in the abdomen and left buttock: A case report
Irene Moysset1, Gracia Valderas2, Ferran Losa3
1MD, Department of Pathology, Consorci Sanitari Integral, L’Hospitalet de Llobregat, Barcelona, Spain
2MD, Department of Radiology, Consorci Sanitari Integral, L’Hospitalet de Llobregat, Barcelona, Spain
3MD, PhD, Department of Oncology, Consorci Sanitari Integral, L’Hospitalet de Llobregat, Barcelona, Spain

Article ID: 100015Z11IM2017
doi:10.5348/Z11-2017-15-CR-4

Address correspondence to:
Irene Moysset, MD
Pathology Department, Consorci Sanitari Integral
Avenida Josep Molins, 29-41 08906 - L’Hospitalet de Llobregat
Barcelona
Spain

Access full text article on other devices

  Access PDF of article on other devices

[HTML Abstract]   [PDF Full Text] [Print This Article]
[Similar article in Pumed] [Similar article in Google Scholar]

How to cite this article
Moysset I, Valderas G, Losa F. Malignant pleural mesothelioma with metastases in the abdomen and left buttock: A case report. J Case Rep Images Pathol 2017;3:13–16.


ABSTRACT

Introduction: Malignant mesothelioma is a rare, aggressive neoplasia that affects the serous membranes. The pleural cavity is the most frequently affected area. Metastasis at the onset of the disease is rare, and muscular involvement is even more uncommon.
Case Report: We report a case of a 64-year-old non-smoking male, who had had intermittent exposure to asbestos for three years. He presented with dyspnea on moderate exertion that had developed over several days, discomfort in the left hemithorax, and some intolerance to decubitus positions. The patient had a weight loss of 10 kg in last three months. A chest X-ray showed bilateral pleural effusion with multiple nodular images in both hemithoraces. Computed tomography (CT) scans of the thorax and abdomen revealed multiple bilateral pleural and pulmonary lesions. We observed mediastinal lymphadenopathy, intra-abdominal implants, and a 56×40 mm polylobulated mass in the left buttock that underwent biopsy, revealing epithelioid cells that showed cytoplasmic positivity for keratins 5/6 and 7. We observed nuclear and cytoplasmic positivity for calretinin and nuclear positivity for the Wilms tumor 1 (WT1) protein, pointing to the diagnosis of metastatic malignant epithelioid mesothelioma. The medical and radiological history supported the diagnosis of primary pleural mesothelioma.
Conclusion: Initial presentation of pleural mesothelioma with distant metastasis outside the thorax is rare, and involvement of striated muscle even more unusual; only three such cases have been reported. The medical, radiological, and histological history of the patient prompted a differential diagnosis among metastases by carcinoma, mesothelioma, and sarcoma. The definitive diagnosis was established by histological and immunohistochemical study.

Keywords: Extrathoracic metastasis, Metastasis in skeletal muscle, Pleural mesothelioma


INTRODUCTION

Malignant mesothelioma is a rare neoplasia of mesodermal origin that affects the serous membranes of the pleura, peritoneum, pericardium, and tunica vaginalis, the most frequent location being the pleura [1]. It is commonly caused by exposure to asbestos [2][3]. Presentation with metastasis is rare as it appears more frequently during the clinical course of the disease, the most common sites being the lymph nodes, lungs, liver, adrenal glands, and kidneys [4]. At the subcutaneous and muscular level, metastasis is very rare; the majority of cases are due to local invasion [2]. In post-mortem studies, 87.7% of cases showed spreading of the disease [1].


CASE REPORT

We report a case of a 64-year-old non-smoking male, who had had intermittent exposure to asbestos for three years. He had been undergoing treatment for hypertension. He presented with dyspnea on moderate exertion that had developed over several days, discomfort in the left hemithorax, and some intolerance to decubitus positions. The patient had a weight loss 10 kg in the last three months. A physical examination showed that he was conscious and lucid with normal coloring. Respiratory auscultation revealed hypophonesis in the lower half of the left hemithorax and right basal hemithorax. Hematological and hepatic findings were within the normal range. Tumor markers carbohydrate antigen (CA) 125, carcinoembryonic antigen (CEA), alpha-fetoprotein (AFP), CA 15-3, and CA 19-9 were shown to be within the normal range. Simple radiography of the posterior-anterior thorax showed bilateral pleural effusion with multiple nodular images in both hemithoraces (Figure 1). A contrast computed tomography (CT) scan of the thorax and abdomen revealed multiple bilateral pulmonary and pleural lesions, mediastinal lymphadenopathies (Figure 2), intra-abdominal implants (Figure 3), and a 56×40 mm polylobulated mass in the left buttock (Figure 4). A biopsy of the mass in the left buttock was made with an 18-gauge needle. Pathological study involved obtaining three cores of tissue measuring between 0.7 and 1 cm in length that were fixed in formalin. In the histological sections, we observed connective tissue infiltrated by epithelioid cells arranged in nests and trabeculae that showed atypia with hyperchromatic nuclei and prominent nucleoli. Occasional non-atypical mitosis was also detected (Figure 5). Immunohistochemical study revealed cytoplasmic positivity for keratins 5/6 and 7. Nuclear and cytoplasmic positivity was observed for calretinin, while nuclear positivity was detected for Wilms tumor 1 protein (Figure 6). Negative results were found for epithelial membrane antigen (Ber-Ep4), thyroid transcription factor-1 (TTF-1), protein suppressor p63, keratin 20, CEA, prostate-specific antigen (PSA), renal cell carcinoma (RCC), vimentin, common lymphoblastic leukemia antigen (CD10), S-100 protein, and CA 19.9. These results confirmed the diagnosis of metastasis of epithelioid mesothelioma. The patient passed away eight days later.



Cursor on image to zoom/Click text to open image
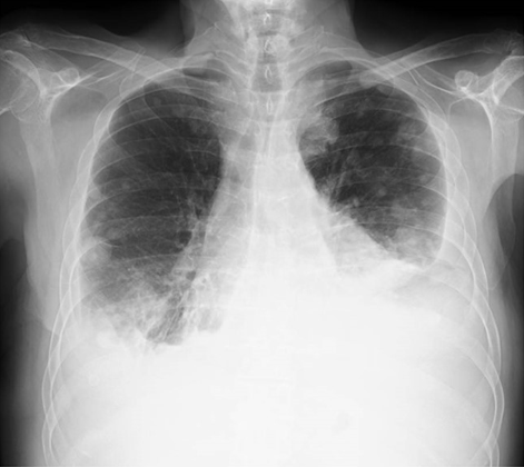
Figure 1: Simple radiography of the posterior-anterior thorax. Mediastinal widening with abundant bilateral pleural effusion, predominantly on the left side and the presence of multiple bilateral pulmonary nodules.



Cursor on image to zoom/Click text to open image
Figure 2: Contrast computed tomography scan of the thorax. (A) Pleural-based mass with heterogeneous enhancement throughout the left mediastinal surface together with multiple lymphadenopathies in the prevascular and right paratracheal spaces, and (B) Pleural effusion and bilateral metastasis predominantly on the left with involvement of the left thoracic wall.



Cursor on image to zoom/Click text to open image
Figure 3: (A) Abdominal contrast computed tomography scan. Right retrocrural lymphadenopathy, and (B) Metastatic implant in the left perirenal space.



Cursor on image to zoom/Click text to open image
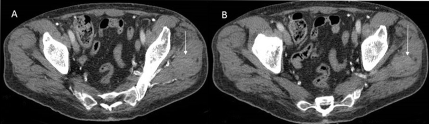
Figure 4: (A, B) Contrast computed tomography scan. In the pelvic sections, a solid mass measured with a soft tissue attenuation coefficient and oval morphology measuring 57×40 mm was observed in the left mid buttock muscle.



Cursor on image to zoom/Click text to open image
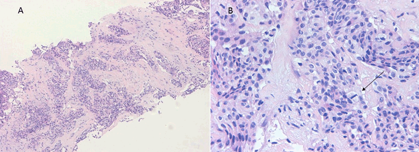
Figure 5: (A) Connective tissue core infiltrated by cells distributed in nests and trabeculae (H&E stain, ×100), and (B) Epithelioid cells with prominent nucleoli and mitosis (H&E stain, ×400).



Cursor on image to zoom/Click text to open image
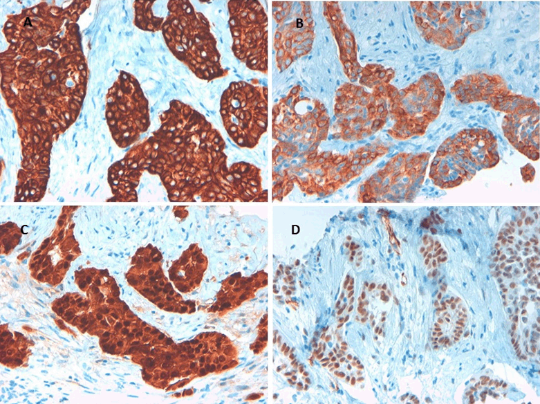
Figure 6: Immunohistochemical study. (A) Cytoplasmic positivity for keratin 7, (B) and keratin 5/6, (C) Nuclear and cytoplasmic positivity for calretinin, and (D) Nuclear positivity for Wilms tumor 1 protein (magnification: ×400).



DISCUSSION

Malignant mesothelioma is a rare and aggressive tumor. Most cases originate in the pleura. The most common age of presentation is between 50 and 70 years, and the presentation of the disease is most commonly localized. Clinical symptoms include dyspnea and non-pleural chest pain. Histologically, affected cells have been described as epithelioid, biphasic, and sarcomatoid, the former being the most frequent [5]. Presentation with distant metastasis of malignant pleural mesothelioma is rare, although some studies have demonstrated a 15% prevalence of extrathoracic metastasis using CT scans and positron emission tomography (PET) [6]. Metastasis in striated muscle involving solid tumors is very rare. The most frequent sites of metastasis are, in decreasing order, pulmonary, gastrointestinal, urological, genital, and mammary [7]. Six cases of malignant pleural mesothelioma with distant metastasis in striated muscle have been reported, three of which were detected at the onset of the disease [8][9][10][11][12][13]. The most frequent histological type in those cases was epithelioid.

We report on a new case with distant extrathoracic metastasis, which is notable because of its unusual presentation. The rare site of metastasis in striated muscular tissue required a differential diagnosis among metastases of carcinoma, mesothelioma, and sarcoma. The definitive diagnosis was made based on histological and immunohistochemical study of the tumor located in the buttock. Furthermore, the clinical and radiological findings supported primary pleural mesothelioma.


CONCLUSION

The presentation of malignant pleural mesothelioma with extrathoracic metastasis at disease onset is very rare, and our case was even more unusual as it involved metastasis in the skeletal muscle. Three cases have been previously reported. The type of presentation in our patient as well as the histological study required a differential diagnosis among metastases of carcinoma, mesothelioma, and sarcoma. The definitive diagnosis was based on microscopic and immunohistochemical study of the lesion in the buttock, which was important in selecting the correct treatment.


REFERENCES
  1. Finn RS, Brims FJH, Gandhi A, et al. Postmortem findings of malignant pleural mesothelioma: A two-center study of 318 patients. CHEST 2012 Nov;142(5):1267–73.   [CrossRef]   [Pubmed]    Back to citation no. 1
  2. Spirtas R, Heineman EF, Bernstein L, et al. Malignant mesothelioma: Attributable risk of asbestos exposure. Occup Environ Med 1994 Dec;51(12):804–11.   [Pubmed]    Back to citation no. 2
  3. Sebbag G, Sugarbaker PH. Peritoneal mesothelioma proposal for a staging system. Eur J Surg Oncol 2001 Apr;27(3):223–4.   [CrossRef]   [Pubmed]    Back to citation no. 3
  4. Sibio S, Sammartino P, Accarpio F, et al. Metastasis of pleural mesothelioma presenting as bleeding colonic polyp. Ann Thorac Surg 2011 Nov;92(5):1898–901.   [CrossRef]   [Pubmed]    Back to citation no. 4
  5. Moser S, Beer M, Damerau G, Lübbers HT, Grätz KW, Kruse AL. A case report of metastasis of malignant mesothelioma to the oral gingiva. Head Neck Oncol 2011 Apr 22;3:21.   [CrossRef]   [Pubmed]    Back to citation no. 5
  6. Higginson DS, Brahmer J, Tufano RP, Bajaj GK. Pleural mesothelioma metastatic to tongue. J Clin Oncol 2007 May 20;25(15):2133–5.   [CrossRef]   [Pubmed]    Back to citation no. 6
  7. Surov A, Köhler J, Wienke A, et al. Muscle metastases: Comparison of features in different primary tumours. Cancer Imaging 2014 May 6;14:21.   [CrossRef]   [Pubmed]    Back to citation no. 7
  8. Grellner W, Staak M. Multiple skeletal muscle metastases from malignant pleural mesothelioma. Pathol Res Pract 1995 Jun;191(5):456–60; discussion 461–2.   [CrossRef]   [Pubmed]    Back to citation no. 8
  9. Laurini JA, Castiglioni T, Elsner B, Avagnina A, Ferreiro S. Soft tissue metastasis as initial manifestation of pleural malignant mesothelioma. Int J Surg Pathol 1999;7:39–44.    Back to citation no. 9
  10. Akyurek S, Nalca Andrieu M, Hicsonmez A, Dizbay Sak S, Kurtman C. Skeletal muscle metastasis from malignant pleural mesothelioma. Clin Oncol (R Coll Radiol) 2004 Dec;16(8):585.   [CrossRef]   [Pubmed]    Back to citation no. 10
  11. Chia-Chun C, Ming-Shu H, Dwan-Ying C. Malignant pleural mesothelioma with extensive skeletal muscle metastasis. J Cancer Res Pract 2014;1(2):134–9.   [CrossRef]    Back to citation no. 11
  12. Tertemiz KC, Ozgen Alpaydin A, Gurel D, Savas R, Gulcu A, Akkoclu A. Multiple distant metastases in a case of malignant pleural mesothelioma. Respir Med Case Rep 2014 Aug 8;13:16–8.   [CrossRef]   [Pubmed]    Back to citation no. 12
  13. Ito S, Tashiro K, Hoshino M, Fukuda T, Sano A, Kaneko T. A case of malignant pleural mesothelioma with left gluteus maximus muscle metastasis. Haigan 2015;55(1):14–9.   [CrossRef]    Back to citation no. 13

[HTML Abstract]   [PDF Full Text]

Author Contributions
Irene Moysset – Substantial contributions to conception and design, Acquisition of data, Analysis and interpretation of data, Drafting the article, Revising it critically for important intellectual content, Final approval of the version to be published
Gracia Valderas – Analysis and interpretation of data, Revising it critically for important intellectual content, Final approval of the version to be published
Ferran Losa – Acquisition of data, Revising it critically for important intellectual content, Final approval of the version to be published
Guarantor of submission
The corresponding author is the guarantor of submission.
Source of support
None
Conflict of interest
Authors declare no conflict of interest.
Copyright
© 2017 Irene Moysset et al. This article is distributed under the terms of Creative Commons Attribution License which permits unrestricted use, distribution and reproduction in any medium provided the original author(s) and original publisher are properly credited. Please see the copyright policy on the journal website for more information.