Case Report
 
Neutrophilic eccrine hidradenitis during treatment of acute myeloid leukemia
Wajd Ahmed Althakfi1, Henri Sevestre1, Caroline Delette2
1Department of Surgical Pathology and Cytology, Center University Hospital of Amiens, France
2Department of Hematoncology, Center University Hospital of Amiens, France

Article ID: 100014Z11WA2017
doi:10.5348/Z11-2017-14-CR-3

Address correspondence to:
Wajd Ahmed Althakfi
CHU Amiens-Picardie site Nord
1 place Victor Pauchet
Amiens-80000
France

Access full text article on other devices

  Access PDF of article on other devices

[HTML Abstract]   [PDF Full Text] [Print This Article]
[Similar article in Pumed] [Similar article in Google Scholar]

How to cite this article:
Althakfi WA, Sevestre H, Delette C. Neutrophilic eccrine hidradenitis during treatment of acute myeloid leukemia. J Case Rep Images Pathol 2017;3:9–12.


ABSTRACT

Introduction: Neutrophilic eccrine hidradenitis (NEH) is a rare and benign condition, which belongs to the spectrum of neutrophilic dermatoses. In this paper, we present a case of NEH during administration of chemotherapy for the treatment of acute myeloid leukemia along with histological and clinical findings.
Case Report: This paper presents the case of a 69-year-old male with a history of ulcerative colitis, dyslipidemia, and hypertension. He was diagnosed with acute myeloid leukemia. From day-1 of admission until day-7, the patient was administered cytarabine 200 mg/m2. In addition, idarubicin (12 mg/m2) was initiated on day-3. On day-21, a morbilliform, diffused, pruritic, infiltrated rash was observed. A fresh cutaneous biopsy revealed that these lesions were of viral origin or reaction, without signs of malignant proliferation. The periodic acid Schiff coloration test was negative for infection. The lesions regressed spontaneously after the introduction of amphotericin B and vancomycin.
Conclusion: We concluded that neutrophilic eccrine hidradenitis is self-limiting and non-life-threatening. However, early diagnosis of the condition is necessary to avoid unwarranted medication and surgery. Neutrophilic eccrine hidradenitis can be successfully managed with the use of topical or systemic corticosteroids. Analgesics may be useful in case of pain. Dose adjustment or changing the chemotherapeutic agent is recommended to avoid possible recurrence.

Keywords: Dyslipidemia, Hypertension, Neutrophilic dermatoses, Neutrophilic eccrine hidradenitis, Ulcerative colitis


INTRODUCTION

Neutrophilic eccrine hidradenitis (NEH) belongs to the spectrum of neutrophilic dermatoses. It was first described by Harris et al. [1] in 1982 as a non-altered neutrophilic infiltration around the eccrine sweat glands in the deep dermis with extra-cutaneous aseptic localization of neutrophils. The condition is benign and rare and is most commonly encountered in acute myeloid leukemia (AML) patients undergoing chemotherapy.

Neutrophilic eccrine hidradenitis has also been known to occur in association with other neoplastic and non-neoplastic diseases such as testicular carcinoma, Hodgkin’s lymphoma, non-Hodgkin’s lymphoma, and osteogenic sarcoma; administration of drugs such as paracetamol, non-steroidal anti-inflammatory drugs, zidovudine, and stavudine; presence of infective pathogens such as human immunodeficiency virus, Serratia spp., and Enterobacter spp.; and chronic inflammatory processes such as rheumatic diseases [2][3] . The condition has also been reported to occur in the healthy population, among both adults and children. It affects both sexes with a slight male predominance.

In this paper, we present a case of NEH developing during chemotherapy for acute myeloid leukemia along with the clinical and histological findings. The condition abated spontaneously with only symptomatic treatment.


CASE REPORT

The patient was a 69-year-old male with a history of ulcerative colitis, dyslipidemia, and hypertension. The patient had initially visited his local physician in December 2015 for asthenia since several weeks with dyspnea on exertion as well as a few episodes of fever with diarrhea. Laboratory tests revealed leukocytosis (white blood cell count, 36,400/mm3) with blast cells at 65%, platelets at 74000/mm3, and hemoglobin at 7.3 g/dl. The patient was then referred to the emergency department for continuation of his care. On admission, the patient was diagnosed with AML. From day-1 of admission to day-7, the patient was administered cytarabine 200 mg/m2, i.e., 394 mg/d. In addition, idarubicin (12 mg/m2) was initiated on day-3. Written informed consent was obtained from the patient for inclusion of his data in the study.

A gradual improvement was noted in leukocytosis with aplasia on day-4; the WBC reduced to 2400/mm3, polymorphonuclear neutrophils (PNN) 300/mm3, hemoglobin 8.2 g/dl, and platelets 22000/mm3. Complete recovery from aplasia was recorded on day-27, with white blood cell count 800/mm3, PNN 1,400, hemoglobin 8.6 g/dl, and platelets 435000/mm3


On the infectious level

A febrile episode was recorded on day-1 on initiation of ceftriaxone, with persistence of the fever for 48 hours. The ceftriaxone was discontinued and replaced with piperacillin on day-3. On the same day, a lesion was noted on the upper lip and acyclovir was introduced. On day-7, the patient developed dyspnea, without coughing or sputum production. Blood gas analysis revealed a PO2 gas of 70 mmHg, and radiology showed evidence of bilateral, mainly hilar, alveolo-interstitial lesions, which were suggestive of fluid overload. In addition, the absence of micronodule or ground-glass lesions indicated a fungal infection. Accordingly, amphotericin B was initiated. The patient developed lower limb lesions that were round, well-circumscribed, and with infiltration, as well as several bilateral, oral lesions with severe mucositis. Thus, vancomycin was introduced on day-7.


Cutaneous manifestations

On day-7, the patient developed purple indurated lesions on the skin. The lesions were present on the upper and lower limbs and the abdomen and were well-circumcised (Figure 1). The genitalia were spared. Other findings of physical examination were unremarkable. No other abnormalities were noted.

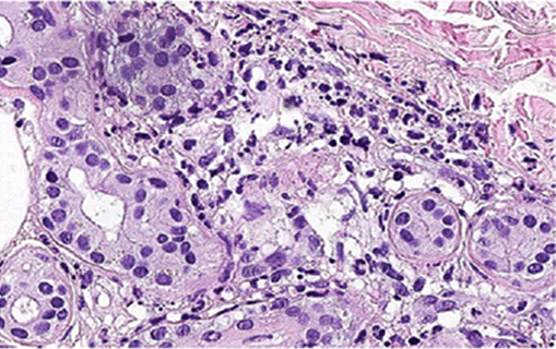
Punch biopsy of the skin revealed PNN-rich inflammatory dermal lesions surrounding apocrine (sweat) glands, which were consistent with NEH (Figure 2) (Figure 3). No vasculitis was observed. The epidermis was normal.

No special care was required after dermatological advice. The periodic acid schiff coloration test was negative for infection. The lesions regressed spontaneously after the introduction of amphotericin B and vancomycin. On day-21, a morbilliform, diffuse, pruritic, infiltrated rash was observed. A fresh cutaneous biopsy revealed that these lesions were of viral origin or reaction, without signs of malignant proliferation. The standard management for spontaneous eruption is to administer dexchlorpheniramine for the pruritus.

On day-22, the catheter was changed due to local inflammation. The fever abated completely after the introduction of amphotericin B and vancomycin. Antibiotics could be discontinued on complete recovery of aplasia and persistence of apyrexia. No bacteriological or mycological studies were required.


Cursor on image to zoom/Click text to open image
Figure 1: Dermatological lesions: well-circumscribed, indurated lesions on (A) Upper limbs and (B) Lower limbs.



Cursor on image to zoom/Click text to open image
Figure 2: (A, B) Neutrophilic infiltration around eccrine glands (H&E stain, (A: x50, B: x100).



Cursor on image to zoom/Click text to open image
Figure 3: Neutrophils surrounding and infiltrating the sweat gland epithelium with gland atrophy (H&E stain, x400).



DISCUSSION

The differentiation of NEH from other similar conditions, particularly, infections, drug eruptions, and malignancies, is important. Several theories have been proposed regarding the pathogenesis of NEH, including the direct cytotoxic effect of chemotherapy agents or abnormal activation of neutrophils [4]. However, the actual mechanism underlying the pathogenesis of NEH remains elusive. From our experience, we suggest that prolonged administration of chemotherapeutic agents at low doses causes accumulation of the drugs in the eccrine glands, which may induce local inflammatory changes and epithelial cell necrosis. The development of NEH could also be attributed to the dose of the chemotherapeutic agents or to the duration or number of cycles of exposure. The patient was febrile during the episode of NEH and was at risk of infection. However, bacterial and fungal cultures were negative. Vancomycine and amphotericin B were administered. However, anti-infectious medications have been implicated in the NEH.

Typically, NEH has an acute onset and disappears spontaneously 1–5 weeks after discontinuing chemotherapy. The disease most commonly presents with skin lesions frequently associated with fever. The lesions generally appear as solitary or multiple, erythematous papules or even plaques on the trunk and limbs. Periorbital and facial lesions and appearance of dark plaques, annular lesions, and sclerodermoid changes have also been reported. However, the lesions are rarely accompanied by pain and tenderness.

The diagnosis is established by the detection of neutrophilic infiltration around eccrine glands with necrosis in biopsy samples. Some non-specific epidermal changes may also be present, such as spongiosis, isolated keratinocyte necrosis, and vacuolization of the basal layer.

Our experience in this case confirms that NEH is self-limiting and non-life-threatening. However, early diagnosis of the condition is necessary to avoid unwarranted medication and surgery [5]. It is necessary to differentiate this condition from other neutrophilic dermatoses with similar clinical or histological signs, including sweet syndrome, pyoderma gangrenosum, and erythema elevatum diutinum. Neutrophilic eccrine hidradenitis is successfully managed with topical or systemic corticosteroids for symptom relief. Analgesics may be useful in case of pain. Dose adjustment or changing the chemotherapeutic agent is recommended to avoid possible recurrence.


CONCLUSION

Based on our findings, we concluded that neutrophilic eccrine hidradenitis can be successfully managed with the use of topical or systemic corticosteroids. To avoid possible recurrence, it is recommended to adjust the dose or change the chemotherapeutic agent.


REFERENCES
  1. Harrist TJ, Fine JD, Berman RS, Murphy GF, Mihm MC Jr. Neutrophilic eccrine hidradenitis: A distinctive type of neutrophilic dermatosis associated with myelogenous leukemia and chemotherapy. Arch Dermatol 1982 Apr;118(4):263–6.   [CrossRef]   [Pubmed]    Back to citation no. 1
  2. Bhanu P, Santosh KV, Gondi S, Manjunath KG, Rajendaran SC, Raj N. Neutrophilic eccrine hidradenitis: A new culprit-carbamazepine. Indian J Pharmacol 2013 Jan–Feb;45(1):91–2.   [CrossRef]   [Pubmed]    Back to citation no. 2
  3. Wong GC, Lee LH, Chong YY. A case report of neutrophilic eccrine hidradenitis in a patient receiving chemotherapy for acute myeloid leukaemia. Ann Acad Med Singapore 1998 Nov;27(6):860–3.   [Pubmed]    Back to citation no. 3
  4. Taghy A, Hassam B. Neutrophilic eccrine hidradenitis during an acute myeloid leukemia. [Article in French]. Pan Afr Med J 2014 May 23;18:72.   [CrossRef]   [Pubmed]    Back to citation no. 4
  5. Copaescu AM, Castilloux JF, Chababi-Atallah M, Sinave C, Bertrand J. A classic clinical case: Neutrophilic eccrine hidradenitis. Case Rep Dermatol 2013 Sep 28;5(3):340–6.   [CrossRef]   [Pubmed]    Back to citation no. 5

[HTML Abstract]   [PDF Full Text]

Author Contributions
Wajd Ahmed Althakfi – Substantial contributions to conception and design, Acquisition of data, Analysis and interpretation of data, Drafting the article, Critical revision of the article, Final approval of the version to be published
Henri Sevestre – Substantial contributions to conception and design, Acquisition of data, Analysis and interpretation of data, Drafting the article, Critical revision of the article, Final approval of the version to be published
Caroline Delette – Substantial contributions to conception and design, Acquisition of data, Analysis and interpretation of data, Drafting the article, Critical revision of the article, Final approval of the version to be published
Guarantor of submission
The corresponding author is the guarantor of submission.
Source of support
None
Conflict of interest
Authors declare no conflict of interest.
Copyright
© 2017 Wajd Ahmed Althakfi et al. This article is distributed under the terms of Creative Commons Attribution License which permits unrestricted use, distribution and reproduction in any medium provided the original author(s) and original publisher are properly credited. Please see the copyright policy on the journal website for more information.