Case Report


A rare collision of atypical fibroxanthoma and basal cell carcinoma

,  

1 McMaster University, Canada

Address correspondence to:

Shauna Wentzell

McMaster University, 1200 Main St. West, Hamilton, Ontario,

Canada

Message to Corresponding Author


Article ID: 100022Z11SW2018

doi: 10.5348/100022Z11SW2018CR

Access full text article on other devices

Access PDF of article on other devices

How to cite this article

Wentzell S, Faraji H. A rare collision of atypical fibroxanthoma and basal cell carcinoma. J Case Rep Images Pathol 2018;4:100022Z11SW2018.

ABSTRACT


We present a unique case of an 83-year-old male who presented with a skin lesion of the ear. Microscopic diagnosis was that of a collision lesion involving atypical fibroxanthoma and basal cell carcinoma. This is a very rare pathological diagnosis and should be considered by pathologists when diagnosing challenging skin lesions.

Keywords: Atypical fibroxanthoma, Basal cell carcinoma, Collision lesion

Introduction


We present a unique case of an 83-year-old male with an amorphous skin lesion of the ear. Microscopic examination revealed an ulcerated nodule with two separate components. The combination of immunohistochemistry stains supported the suspicion of a collision lesion involving atypical fibroxanthoma (AFX) and a basal cell carcinoma (BCC). Although these entities are not new in the dermatopathology world, the presence of a collision tumour involving these two entities is extremely rare and should be considered in diagnosing histologically challenging skin lesions.

Case Report


We present the case of an 83-year-old male with an amorphous skin lesion of the ear. This lesion was located in the conchal bowel of the ear with a nodular appearance and had been bleeding intermittently for two months. Gross examination revealed an ulcerated nodule. The punch biopsy revealed a yellow/tan ill-defined lesion in dermis with an eroded surface.

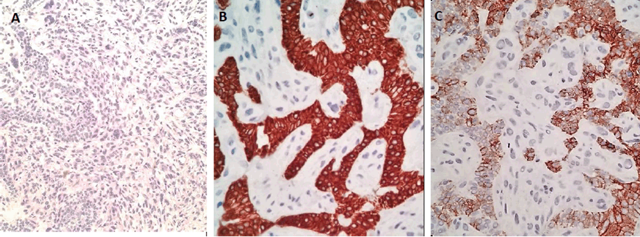
Microscopically, the tumor is highly cellular with two separate components (Figure 1). The major component shows extensive intradermal proliferation of spindled to polyclonal cells with markedly pleomorphic and hyperchromatic nuclei that contact the ulcerated surface of the lesion. The spindle cells are arranged in fascicles. Some cells have vacuolated, foamy cytoplasm and some with large atypical multinucleated giant cells. Mitotic figures, including atypical forms, are readily identified. The second component composed of basaloid cells with amphophilic cytoplasm and variable mitotic activity forming nests surrounded by a myxoid stroma.

Immunohistochemistry (IHC) was performed revealing the spindle component of the lesion as positive for CD10 and Vimentin (Figure 1C and 3). The basaloid component was positive for CK5/6, Pan Keratin, BerEP4 and P63 (Figure 1B and 2). Antibodies for S-100, HMB- 45, Actin and Desmin tested negative.

Morphologically, this lesion can be confused with sarcomatoid basal cell carcinoma, however, this would require the entire lesion to be negative for the AFX markers. In this case each separate component had identifying immunohistochemistry staining. The unique combination of immunohistochemistry stains supported the diagnosis of a collision lesion involving atypical fibroxanthoma (AFX) and a basal cell carcinoma (BCC).

Figure 1: (A) H&E at 4x (B) P63, CK5/6, PanKeratin at 4x (C) Vimentin 4x.

Share Image:

Figure 2: (A) H&E at 20x (B) P63, CK5/6, PanKeratin at 20x (C) BerEP4 20x.

Share Image:

Figure 3: (A) CD10 at 20x (B)- Vimentin 20x.

Share Image:

Discussion


A collision tumour is defined as two or more histologically distinct neoplasms co-existing within the same lesion [1]. Collision tumours have been reported to involve a multitude of skin neoplasms and proper identification of the malignant portion of the lesion must be identified to ensure correct treatment.

Although collision lesions can occur in various locations in the body, the skin represents the most common location likely due to extrinsic factors such as UV radiation exposure [2]. While collision lesions are not a new entity, certain combinations of malignant and benign lesions are often reported in literature. To our knowledge, only two cases have been reported of a collision lesion involving BCC and AFX [1],[3] making this case rather unique.

With an unknown pathogenesis collision tumours pose a challenge when diagnosing skin lesion pathology [4]. These lesions often appear clinically irregular with varying morphology. Difficulty in diagnosing these lesions can lead to unnecessary biopsies, test and excisions for the patient [2].

AFX is associated with solar damage and most often appears in sun exposed areas [5],[6]. These lesions grow rapidly and can be misdiagnosed clinically as malignant lesions requiring unnecessary radiation or surgical treatment. Despite its worrisome histological appearance, it is often a diagnosis of exclusion and is considered a rather benign lesion [4]. Review of the literature has shown very few cases of collision lesions involving AFX.

BCC is the most common type of skin cancer which begins in the basal cell layer of the epidermis. Similar to AFX, exposure to UV light is the main risk factor for developing BCC. Although death from BCC is exceedingly rare, poor treatment of these lesions can lead to extensive damage and disfigurement leading to more drastic surgeries in later life [7] Therefore, early treatment of these lesions is ideal for patients.

With BCC having the most malignant potential in this particular lesion, proper treatment must be ensured to provide the best patient outcome. With a small portion of the lesion involving BCC, it can be easily missed to the untrained eye.

Conclusion


Collision lesions provide a diagnostic challenge for clinicians. Although these entities are not new in the dermatopathology world, the presence of a collision tumour involving AFX and BCC is extremely rare and should be considered in diagnosing histologically challenging skin lesions.

REFERENCES


1.

Speiser JJ, Aggarwal S, Wold L, Tung R, Hutchens KA. A rare collision in dermatopathology: Basal cell carcinoma and atypical fibroxanthoma. Am J Dermatopathol 2015 Dec;37(12):950–3. [CrossRef] [Pubmed]   Back to citation no. 1  

2.

Blum A, Siggs G, Marghoob AA, et al. Collision skin lesions-results of a multicenter study of the International Dermoscopy Society (IDS). Dermatol Pract Concept 2017 Jul 31;7(4):51–62. [CrossRef] [Pubmed]   Back to citation no. 1  

3.

Alves R, Ocaña J, Vale E, Correia S, Viana I, Bordalo O. Basal cell carcinoma and atypical fibroxanthoma: An unusual collision tumor. J Am Acad Dermatol 2010 Sep;63(3):e74–6. [CrossRef] [Pubmed]   Back to citation no. 1  

4.

McGregor DH, Cherian R, Romanas MM, Ulusarac O, Mathur SC, Feldman MM. Amelanotic malignant melanoma: Two collision tumors presenting as basal cell carcinoma and atypical fibroxanthoma. Ann Clin Lab Sci 2008 Spring;38(2):157–62. [Pubmed]   Back to citation no. 1  

5.

Sakamoto A. Atypical fibroxanthoma. Clin Med Oncol 2008;2:117–27. [Pubmed]   Back to citation no. 1  

6.

Anderson C. Basal cell carcinomas. Hackensack: Salem Press Encyclopedia of Health; 2014. p. 2.   Back to citation no. 1  

7.

Greene L, Cooper K. Atypical fibroxanthoma: An immunohistochemistry update. Adv Anat Pathol 2008;15(6):374.   Back to citation no. 1  

SUPPORTING INFORMATION


Author Contributions

Shauna Wentzell - Substantial contributions to conception and design, Acquisition of data, Analysis of data, Interpretation of data, Drafting the article, Revising it critically for important intellectual content, Final approval of the version to be published

Hamidreza Faraji - Substantial contributions to conception and design, Acquisition of data, Analysis of data, Interpretation of data, Drafting the article, Revising it critically for important intellectual content, Final approval of the version to be published

Guarantor of Submission

The corresponding author is the guarantor of submission.

Source of Support

None

Consent Statement

Written informed consent was obtained from the patient for publication of this case report.

Data Availability

All relevant data are within the paper and its Supporting Information files.

Conflict of Interest

Authors declare no conflict of interest.

Copyright

© 2018 Shauna Wentzell et al. This article is distributed under the terms of Creative Commons Attribution License which permits unrestricted use, distribution and reproduction in any medium provided the original author(s) and original publisher are properly credited. Please see the copyright policy on the journal website for more information.