Case Report


Kasabach–Merritt syndrome, not only a pediatric condition: An autopsy case report and review of literature

,  ,  

1 Department of Pathology, Northwell Health, Greenvale, NY 11552, USA

2 Department of Surgery, Lincoln Medical Center, Bronx, NY 10451, USA

3 Department of Pathology, New York University, Langone-Long Island, Mineola, NY 11501, USA

Address correspondence to:

Zarrin Hossein-Zadeh

MD, Department of Pathology at Northwell Health/Donald and Barbara Zucker School of Medicine at Hofstra, Greenvale, NY,

USA

Message to Corresponding Author


Article ID: 100085Z11ZZ2025

doi: 10.5348/100085Z11ZZ2025CR

Access full text article on other devices

Access PDF of article on other devices

How to cite this article

Hossein-Zadeh Z, Rivero-Soto R, Hon JDC. Kasabach–Merritt syndrome, not only a pediatric condition: An autopsy case report and review of literature. J Case Rep Images Pathol 2025;11(1):8–12.

ABSTRACT


Kasabach–Merritt syndrome (KMS), also known as hemangioma with thrombocytopenia, is a rare vascular disease characterized by thrombocytopenia, anemia, disseminated intravascular coagulation (DIC), and vascular lesions. It often occurs during infancy and the neonatal period and rarely in adults. The syndrome presents with consumptive coagulopathy initiated within a vascular tumor, mainly tufted angiomas or Kaposiform hemangioendotheliomas, and less commonly, hepatic and/or biliary hemangiomas. We report a case of a 41-year-old female with a recent diagnosis of biopsy proven biliary-type hemangioma of the liver, undergoing fertility treatment, who developed consumptive coagulopathy and disseminated intravascular coagulation shortly following a liver biopsy procedure, and ultimately demised. Based on the review of the literature, we present the first adult case of KMS where the diagnosis was made post-mortem. Given the rarity of this condition, particularly in the adult population, we believe our case adds value to the field of critical care medicine, coagulopathies, and forensic medicine.

Keywords: Consumptive coagulopathy, Hepatic hemangioma, Kasabach–Merritt syndrome (KMS)

Introduction


Kasabach–Merritt syndrome (KMS), first described in 1940, is a rare but life-threatening coagulopathy of infancy which presents with thrombocytopenia, microangiopathic hemolytic anemia, and consumptive coagulopathy in the setting of a rapidly enlarging vascular tumor [1]. It is commonly associated with the vascular tumors, Kaposiform hemangioendothelioma and tufted angioma (TA), which are part of the same neoplastic spectrum, and less commonly other vascular malformations including hepatic and biliary hemangiomas. Treatment includes supportive therapy and management of the underlying tumor [2]. Here we report a case of a 41-year-old female with a recent diagnosis of a biliary-type hepatic hemangioma, who developed consumptive coagulopathy and disseminated intravascular coagulation shortly following a liver biopsy procedure, and ultimately demised.

Although, definitive KMS diagnosis was not established antemortem, the evidence during post-mortem examination is highly supportive of this diagnosis. This review highlights the clinical presentation, histopathology, management, and treatment of KMS associated with hepatic hemangiomas, Kaposiform hemangioendothelioma, and less frequently tufted angioma. A clinical case is described to demonstrate the clinical presentation of a patient with KMS.

Case Report


The decedent was a 41-year-old female with history of diabetes mellitus type 2, hyperlipidemia, hypertension, recent cerebrovascular accident (CVA), requiring admission and administration of tissue plasminogen activator (TPA), who presented to the emergency department (ED) with a complaint of fatigue, poor appetite, and decreased energy for one week duration, with recent observation of yellowish discoloration of her eyes. On admission laboratory results were notable for a blood urea nitrogen (BUN): 40 mg/dL, creatinine: 4.21 mg/dL, aspartate aminotransferase (AST): 489 U/L, alanine transaminase (ALT): 355 U/L, alkaline phosphatase (ALP): 878 IU/L, total bilirubin: 9.8 mg/dL, direct bilirubin: 5.3 mg/dL, activated partial thromboplastin time (APTT): 153, prothrombin time/international normalized ratio (PT/INR): 19.3/2.16, an elevated D-dimer level of 2,249 μg/mL and hypofibrinogenemia with fibrinogen level of 101 mg/dL. Complete blood count showed red blood cell count (RBC) of 3.5×109/L, white blood cell (WBC) count of 8.5×109/L, hemoglobin of 8.1 gm/dL, and a platelet count of 79×103/uL. In the ED, the patient had a temperature of 103F. During her last admission which was approximately two months prior to this, wherein the patient was admitted and treated for her CVA, the patient was again found to have abnormal lab values including hypofibrinogenemia (fibrinogen value of 120 mg/dL), anemia with a hemoglobin of 8.7 gm/dL, and thrombocytopenia with a platelet count of 103×103/uL. Additionally, imaging revealed a 2.3 cm vascular malformation of the lower right lobe of the liver; however, the lesion was not biopsied then. During the latest hospitalization, the patient had a biopsy of the liver which was consistent with a hepatic biliary-type hemangioma and biliary hamartoma. After the procedure the patient became progressively hypotensive, bradycardic, and unresponsive with a lost pulse. Cardiopulmonary resuscitation was initiated, and return of spontaneous circulation was achieved after 4 rounds of cardiopulmonary resuscitation (CPR). Computed tomography (CT) imaging showed a liver with an attenuated right hepatic artery and several ill-defined areas of low-attenuation within the spleen, suggestive of splenic infarction.

On the same day, the nursing staff was alerted that the patient had no mental status, sluggish pupils, no corneal reflex, no gag reflex, and was unresponsive to painful stimuli. She was deemed too unstable to be able to undergo a CT of the brain. On further exam, she was noted to have 500 cc of bright red blood in her bed. Significant oozing was noted from her right femoral Quinton catheter. A pressure bag was applied to the oozing site; however, approximately 2.5 L of blood was lost from the Quinton catheter site and massive transfusion protocol was initiated. The vascular team stated that there is no more intervention that could be done. The patient became bradycardic and demised the evening of the same day. The family requested an autopsy.

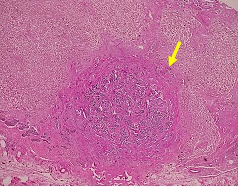
At the time of the autopsy, diffuse anasarca with presence of sanguineous fluid throughout the chest, abdomen, and the lower extremities was noted. Skin appeared pale and icteric with bilaterally icteric sclera. Bilateral pleural effusion and cardiac effusion were noted. The capsular surfaces of the liver and spleen were covered by large hematomas measuring 22 and 11 cm, respectively. Gross examination of the cut surface of the liver showed a 2.52×1.8 cm tan-red and hemorrhagic area on one aspect of the right lower lobe of the liver, corresponding to the biopsy site (Figure 1). Microscopically, the liver demonstrated multiple foci of biliary duct hamartomas, acute cholestatic hepatitis, with bile stasis, and an area of vascular malformation consistent with a biliary hemangioma with hemosiderin deposition (Figure 2).

Figure 1: Gross image of the liver including the 2.5 cm hemorrhagic area.

Share Image:

Figure 2: Hematoxylin and Eosin (HE) section of the liver @20× magnification demonstrating vascular malformation consistent with hepatic hemangioma and hemosiderin deposition.

Share Image:

Discussion


Kasabach–Merritt syndrome is a vascular disease characterized by the presence of thrombocytopenia, anemia, disseminated intravascular coagulation (DIC), and vascular lesions [3]. Unexplainable DIC may be a clue in identifying hepatic tumors of vascular origin. In 1940, Kasabach and Merritt described the first case of this new syndrome in a boy with Kaposiform hemangioendothelioma, severe thrombocytopenia, anemia, and consumption coagulopathy [4]. With prompt diagnosis and management, KMS can resolve and vascular tumors have been shown to regress.

Systemic inflammatory response syndrome (SIRS) is an exaggerated defense response of the body to a noxious stressor such as trauma, surgery, acute inflammation, ischemia or reperfusion, or shock. Profound shock and/or massive injuries responsible for large blood losses quickly initiate the cycle of hypothermia, acidosis, and coagulopathy. Acute traumatic coagulopathy occurs immediately after massive trauma/surgical procedures when shock, hypoperfusion, and vascular damage are present. Mechanisms for this acute coagulopathy include activation of protein C, endothelial glycocalyx disruption, depletion of fibrinogen, and platelet dysfunction. Hypothermia and acidemia amplify the endogenous coagulopathy and often accompany trauma. These multifactorial processes lead to decreased clot strength, autoheparinization, and hyperfibrinolysis, which were some possible exacerbating factors in the presenting case. Additionally, the patient’s comorbidities including female sex, recent ovarian stimulation treatment with several medication (Gonal-F, Clomid, Menopur), and genetic predispositions may have resulted in development/proliferation of a hepatic hemangioma, and raising the possibility of Kasabach–Merritt syndrome, also known as hemangioma–thrombocytopenia syndrome. Most patients with this condition are diagnosed within the first year of life, and the mortality ranges between 10% and 37% [5]. The main findings of KMS include presence of a hepatic or cavernous vascular malformation, including cavernous, hepatic, biliary hemangiomas, and resultant consumptive coagulopathy [6].

Although presentation in adult patient is very rare, adult forms have also been reported. Some predisposing factors for development and/or complications of hepatic hemangioma in adulthood include female sex, certain medications including steroid use, estrogen therapy, and use of oral contraceptives; pregnancy and multiparity (by disrupting estrogen and progesterone hormone levels, leading to an increase in size of a preexisting hepatic vascular malformation), and ovarian stimulation treatment with clomiphene citrate and human chorionic gonadotropin [5], [6]. Genetic gene penetrance or sex hormone proliferative factors may be confounding factors [7].

Furthermore, the effects of aggressive crystalloid administration and hemodilution may be contributory. There are multiple factors that may have contributed to the patient’s poor coagulative state. The patient’s recent history of CVA necessitated the use of anticoagulation, and the patient was administered heparin and aspirin. Further, the patient was found to have a hepatic biliary-type hemangioma and a biliary hamartoma with elevated liver enzymes, and diffusely icteric liver at the time of autopsy, and possible association with hemangioma–thrombocytopenia syndrome (hepatic hemangioma and consumptive coagulopathy also known as Kasabach–Merritt syndrome). The patient was also on several ovarian stimulating agents, including Clomid citrate, which are known to be coagulopathic and thromboembolic agents. Additionally, the patient had a recent biopsy, which may be considered a traumatic event which may have worsened the status of coagulopathy.

The current study is a retrospective autopsy case study and a review of literature on KMS in adults (Table 1). To date, all the adult KMS cases have occurred in women, and a total of 8 cases including the current case are reported in the literature. The main findings of KMS include presence of a hepatic or cavernous vascular malformation, including hepatic or biliary-type hemangiomas, and resultant consumptive coagulopathy. Most patients with this condition are diagnosed within the first year of life, with a relatively high mortality rate [7]. The process can extend beyond the tumor and become disseminated in a variety of cases due to certain medication, trauma, or surgery [15]. We report the first adult case of KMS where the diagnosis was made post-mortem with an abrupt turn of events. During the autopsy, diffuse anasarca with presence of sanguineous fluid throughout the chest, abdomen, and the lower extremities was noted. Skin appeared pale and icteric. The capsular surfaces of the liver and spleen were covered by large hematomas. Gross examination of the cut surface of the liver showed a 2.5 cm tan-red and hemorrhagic area on one aspect of the liver. Microscopically, the liver demonstrated multiple foci of biliary duct hamartomas and acute cholestatic hepatitis, with bile stasis, and an area of vascular malformation consistent with a biliary-type hemangioma with hemosiderin deposition. Knowledge of KMS in pediatric as well as adult population is important for the field of critical care medicine, hematology, and pathology, especially given the relatively high mortality rate of the disease.

Table 1: Summary of eight documented cases of KMS from 2000 to 2023

Share Image:

Conclusion


Kasabach–Merritt syndrome (KMS), also known as hemangioma–thrombocytopenia syndrome, is a rare and often fatal condition most commonly diagnosed in the first year of life. Although adult onset KMS disease has been reported in the literature, the case presented here is the first adult form of KMS where the diagnosis is made post-mortem. Given the potential serious complication and high fatality rate associated with this disease, we believe knowledge of KMS in pediatric as well as adult population is important for physicians, especially those in the field of critical care, emergency medicine, as well as for pathologists.

REFERENCES


1.

Ji Y, Chen S, Li L, et al. Kaposiform hemangioendothelioma without cutaneous involvement. J Cancer Res Clin Oncol 2018;144(12):2475–84. [CrossRef] [Pubmed]   Back to citation no. 1  

2.

Lewis D, Vaidya R. Kasabach-Merritt Syndrome. In: StatPearls. Treasure Island (FL): StatPearls Publishing; 2025. [Pubmed]   Back to citation no. 1  

3.

Mahajan P, Margolin J, Iacobas I. Kasabach-Merritt phenomenon: Classic presentation and management options. Clin Med Insights Blood Disord 2017;10:1179545X17699849. [CrossRef] [Pubmed]   Back to citation no. 1  

4.

Enjolras O, Wassef M, Mazoyer E, et al. Infants with Kasabach-Merritt syndrome do not have “true” hemangiomas. J Pediatr 1997;130(4):631–40. [CrossRef] [Pubmed]   Back to citation no. 1  

5.

Vinod KV, Johny J, Vadivelan M, Hamide A. Kasabach-Merritt syndrome in an adult. Turk J Haematol 2018;35(3):204–5. [CrossRef] [Pubmed]   Back to citation no. 1  

6.

Aslan A, Meyer Zu Vilsendorf A, Kleine M, Bredt M, Bektas H. Adult Kasabach-Merritt syndrome due to hepatic giant hemangioma. Case Rep Gastroenterol 2009;3(3):306–12. [CrossRef] [Pubmed]   Back to citation no. 1  

7.

Concejero AM, Chen CL, Chen TY, Eng HL, Kuo FY. Giant cavernous hemangioma of the liver with coagulopathy: Adult Kasabach-Merritt syndrome. Surgery 2009;145(2):245–7. [CrossRef] [Pubmed]   Back to citation no. 1  

8.

Alimoradi M, Sabra H, El-Helou E, Chahal A, Wakim R. Massive liver haemangioma causing Kasabach-Merritt syndrome in an adult. Ann R Coll Surg Engl 2020;102(9):e1–4. [CrossRef] [Pubmed]   Back to citation no. 1  

9.

Pantelic M, Pantelic M, Djuric P, Markovic K, Vucinic T, Juloski JT. Kasabach-Merritt syndrome in an adult. Turk J Haematol 2020;37(1):53–4. [CrossRef] [Pubmed]   Back to citation no. 1  

10.

Ontachi Y, Asakura H, Omote M, Yoshida T, Matsui O, Nakao S. Kasabach-Merritt syndrome associated with giant liver hemangioma: The effect of combined therapy with danaparoid sodium and tranexamic acid. Haematologica 2005;90 Suppl:ECR29. [Pubmed]   Back to citation no. 1  

11.

Oak CY, Jun CH, Cho EA, et al. Hepatic hemangioma with Kasabach-Merritt syndrome in an adult patient. Korean J Gastroenterol 2016;67(4):220–3. [CrossRef] [Pubmed]   Back to citation no. 1  

12.

Bozkaya H, Cinar C, Ünalp ÖV, Parildar M, Oran I. Unusual treatment of Kasabach-Merritt syndrome secondary to hepatic hemangioma: Embolization with bleomycin. Wien Klin Wochenschr 2015;127(11–12):488–90. [CrossRef] [Pubmed]   Back to citation no. 1  

13.

Meguro M, Soejima Y, Taketomi A, et al. Living donor liver transplantation in a patient with giant hepatic hemangioma complicated by Kasabach-Merritt syndrome: Report of a case. Surg Today 2008;38(5):463–8. [CrossRef] [Pubmed]   Back to citation no. 1  

14.

Hochwald SN, Blumgart LH. Giant hepatic hemangioma with Kasabach-Merritt syndrome: Is the appropriate treatment enucleation or liver transplantation? HPB Surg 2000;11(6):413–9. [CrossRef] [Pubmed]   Back to citation no. 1  

15.

Kumashiro Y, Kasahara M, Nomoto K, et al. Living donor liver transplantation for giant hepatic hemangioma with Kasabach-Merritt syndrome with a posterior segment graft. Liver Transpl 2002;8(8):721–4. [CrossRef] [Pubmed]   Back to citation no. 1  

SUPPORTING INFORMATION


Author Contributions

Zarrin Hossein-Zadeh - Conception of the work, Design of the work, Acquisition of data, Analysis of data, Drafting the work, Revising the work critically for important intellectual content, Final approval of the version to be published, Agree to be accountable for all aspects of the work in ensuring that questions related to the accuracy or integrity of any part of the work are appropriately investigated and resolved.

Roberto J Rivero-Soto - Conception of the work, Design of the work, Acquisition of data, Analysis of data, Drafting the work, Revising the work critically for important intellectual content, Final approval of the version to be published, Agree to be accountable for all aspects of the work in ensuring that questions related to the accuracy or integrity of any part of the work are appropriately investigated and resolved.

Jane Date C Hon - Conception of the work, Design of the work, Acquisition of data, Analysis of data, Drafting the work, Revising the work critically for important intellectual content, Final approval of the version to be published, Agree to be accountable for all aspects of the work in ensuring that questions related to the accuracy or integrity of any part of the work are appropriately investigated and resolved.

Guarantor of Submission

The corresponding author is the guarantor of submission.

Source of Support

None

Consent Statement

Written informed consent was obtained from the patient for publication of this article.

Data Availability

All relevant data are within the paper and its Supporting Information files.

Conflict of Interest

Authors declare no conflict of interest.

Copyright

© 2025 Zarrin Hossein-Zadeh et al. This article is distributed under the terms of Creative Commons Attribution License which permits unrestricted use, distribution and reproduction in any medium provided the original author(s) and original publisher are properly credited. Please see the copyright policy on the journal website for more information.