Case Report


Metastatic adenosquamous carcinoma with porocarcinoma-like differentiation arising from an ovarian teratoma

,  

1 MD, PhD, Surgical Pathology Fellow, Department of Pathology, University of California San Francisco, San Francisco, CA, USA

2 MD, Associate Professor, Department of Pathology, University of California San Francisco, San Francisco, CA, USA

Address correspondence to:

Cynthia A Gasper

MD, Department of Pathology, University of California San Francisco, 1825 4th Street, M-2353, San Francisco, CA 94158,

USA

Message to Corresponding Author


Article ID: 100086Z11AM2025

doi: 10.5348/100086Z11AM2025CR

Access full text article on other devices

Access PDF of article on other devices

How to cite this article

Mirza A, Gasper CA. Metastatic adenosquamous carcinoma with porocarcinoma-like differentiation arising from an ovarian teratoma. J Case Rep Images Pathol 2025;11(1):13–17.

ABSTRACT


Introduction: The vast majority of ovarian mature cystic teratomas (MCTs) are benign with approximately 1% undergoing malignant transformation, typically into squamous cell carcinoma. Rarely cutaneous adnexal malignancies are found in association with malignant transformation of a teratoma and those with eccrine differentiation are exceptionally rare.

Case Report: We report a case of a premenopausal 48-year-old, gravida 1, para 0, unmarried woman with no past medical history who presented with abdominal pain and bloating. A pelvic ultrasound was notable for a 10 cm mass possibly arising from the left ovary and a computed tomography (CT) scan of the abdomen and pelvis demonstrated a pelvic mass and suspected peritoneal carcinomatosis. The initial pelvic mass biopsy was primarily necrotic but showed infiltrative malignant cells. The patient underwent neoadjuvant chemotherapy followed by total abdominal hysterectomy, bilateral salpingo-oophorectomy, partial colectomy, and tumor debulking which revealed widespread involvement by adenosquamous carcinoma with extensive poroid differentiation. Extensive ovarian sampling revealed the adenosquamous carcinoma arose from a mature cystic teratoma. Molecular testing identified short-tandem repeats (STR) that confirmed the teratomatous origin of the primary tumor and metastases along with next generation targeted sequencing showing specific genetic alterations.

Conclusion: Malignant transformation of ovarian mature cystic teratoma is rare and typically in the form of squamous cell carcinoma. Here we present the first case of adenosquamous carcinoma with a porocarcinoma element arising from a mature cystic teratoma with shared oncogenic drivers of YAP1 and p53 in addition to mosaic expression of a TGFBR2 mutant.

Keywords: Adenosquamous carcinoma, Malignant transformation, Teratoma

Introduction


Ovarian mature cystic teratomas (MCTs) are usually benign but can rarely undergo malignant transformation in approximately 1% of cases [1]. The majority of malignancies arising from MCTs are squamous cell carcinoma (80%) which reflects the extremely common finding of cutaneous differentiation in MCTs [1]. Rarely cutaneous adnexal malignancies are found in association with malignant transformation of a teratoma including a single combined squamous cell carcinoma and microcytic adnexal carcinoma, sebaceous carcinoma, and apocrine adenocarcinoma [2],[3],[4]. To our knowledge, 12 cases of adenosquamous carcinoma arising from MCTs have been reported; however, the adenomatous components are generally glandular or mucoepidermoid, rather than cutaneous in derivation [5],[6]. Here we report the first case of a cutaneous adenosquamous carcinoma with a porocarcinoma-like component. This tumor showed shared molecular drivers between squamous cell carcinoma and porocarcinoma including YAP1 and p53, and mosaic expression of a dominant negative TGFBR2 that recapitulates sweat gland development [7],[8] to induce this biphasic morphology.

Case Report


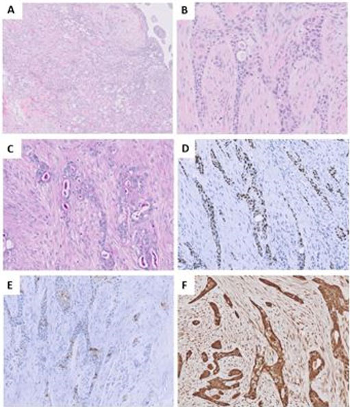
A 48-year-old premenopausal, gravida 1, para 0, unmarried woman with no past medical history, but a family history of breast cancer, presented with abdominal pain and bloating for five months. She underwent a pelvic ultrasound which was notable for a 10 cm mass possibly arising from the left ovary with preserved flow and complex ascites. The right ovary was not visualized. A computed tomography (CT) scan of the abdomen and pelvis demonstrated a 9.2 cm pelvic mass arising from the left ovary containing fat and calcifications. Multiple peritoneal nodules, omental thickening, and ascites were also identified, suspicious for peritoneal carcinomatosis. Her serum CA-125 was elevated, serum human chorionic gonadotropin (hCG), alpha fetoprotein (AFP), and inhibin B were within reference range. A biopsy of the pelvic mass was performed and yielded primarily necrotic material with focal nests of infiltrative malignant cells. Immunohistochemically these cells were positive for keratin and p40 with p53 showing a nuclear overexpression pattern (aberrant result). Immunohistochemical staining for WT1, ER, PAX8, CK20, and CK7 were negative. The RNA in situ hybridization for high-risk human papilloma virus was negative. The patient underwent five cycles of neoadjuvant chemotherapy that started with paclitaxel and carboplatin chemotherapy at standard dosing. After three months she started a second line of chemotherapy that included cisplatin and etoposide with only modest response. Total abdominal hysterectomy, bilateral salpingo-oophroectomy, partial colectomy, and tumor debulking were performed. Grossly, a disrupted 4.7 cm ovarian mass was identified adherent to the fallopian tube and colon. The colon also demonstrated two additional (5.5 and 3.5 cm) serosal masses and extensive involvement by multifocal serosal nodules. Microscopically, a single focus of mature cystic teratoma was identified, composed of benign cutaneous elements including epidermis and well-developed adnexal structures adjacent to glandular epithelium and adipose tissue (Figure 1A and B). No immature elements were identified. In close proximity, a diffusely infiltrative moderately differentiated squamous malignancy was present with infiltrative nests and cords (Figure 1C and Figure 1D). The squamous malignancy was found diffusely throughout the specimens with full-thickness involvement of the colon (Figure 1E), ileum, appendix, and right fallopian tube. Immunohistochemical staining showed strong p40 and p63 expression (Figure 1F). Along with squamous differentiation, broad regions of the tumor demonstrated eccrine differentiation (Figure 2A and Figure 2B). Infiltrative cords showed lumina with pale eosinophilic periodic acid-Schiff (PAS)-positive secretions (Figure 2C). These cells showed carcinoembryonic antigen (CEA)-positive luminal borders. The cells were both p63 and p40 positive (Figure 2D), consistent with cutaneous derivation, and they lack a myoepithelial layer with S100 only highlighting scattered dendritic cells (Figure 2E). These findings supported poroid differentiation and argued against other sweat gland tumors. Negative staining for pan-TRK, NUT, and mammoglobin argued against the differential diagnostic considerations of microsecratory carcinoma and NUT carcinoma. Finally, a YAP1 immunohistochemical stain demonstrates strong nuclear positivity (Figure 2F) consistent with porocarcinoma.

In order to confirm the teratomatous origin of this carcinoma short tandem repeat testing was performed. Punch biopsies of regions of histologically confirmed unremarkable colonic tissue, mature benign squamous epithelium from the teratoma, and the carcinoma were evaluated for 13 unique loci. While the control tissue was heterozygous, the mature teratoma and carcinoma were homozygous, confirming the teratomatous origin of the malignancy (Table 1). Finally targeted exome next generation sequencing of a panel of 500 genes was undertaken. Sequencing results demonstrated homozygous deletion of CDKN2A, multiple pathogenic TP53 mutations, YAP1 amplification, and extensive copy number neutral loss of heterozygosity (Table 2). The observed CDKN2A and TP53 mutations are both frequently observed in both squamous cell carcinoma and porocarcinoma. Further, YAP1 mutations are characteristic of both porocarcinoma (YAP1 fusions) and squamous cell carcinoma (YAP1 amplifications). A truncating TGFBR2 mutation was found in half of the tumor, based on variant allele frequencies, and indicates the formation of truncated receptor lacking a kinase domain. Previous functional studies of similar TGFBR2 truncating mutations indicate the formation of dominant negative bone morphogenetic protein (BMP) pathway receptor. To assess for alterations in BMP signaling and resultant antagonism of hedgehog signaling, immunohistochemical stains for DPC4 and Bcl2 were performed and demonstrated mosaic nuclear localization of DPC4 in regions of poroid differentiation. Following surgical resection the patient was transferred to palliative care due to worsening of disease and died nine months after presentation.

Figure 1: Histologic images of mature teratoma with malignant transformation. (A) Mature teratoma with squamous differentiation (H&E 40×). (B) Mature teratoma (H&E, 200×). (C) Malignant transformation to invasive squamous cell carcinoma (H&E, 200×). (D) Malignant transformation to invasive squamous cell carcinoma with keratinization (H&E, 200×). (E) Adenosquamous carcinoma invading full thickness of colon (H&E, 200×). (F) p40 immunohistochemical stain showing positive nuclear expression (200×).

Share Image:

Figure 2: Histologic images of porocarcinoma-like region of adenosquamous carcinoma. (A) Tumor with glandular differentiation with compact ductal lumina (H&E, 40×). (B) Tumor with glandular differentiation (H&E, 200×). (C) PAS stain showing eosinophilic PAS-positive secretions in the lumina (200×). (D) p40 immunohistochemical stain showing positive nuclear expression (200×). (E) S100 immunohistochemical stain demonstrating a lack of myoepithelial cells (200×). (F) YAP1 immunohistochemical stain demonstrates positive nuclear expression (200×).

Share Image:

Table 1: Short tandem repeat testing in mature cystic teratoma and areas of malignant transformation to adenosquamous carcinoma compared with normal tissue

Share Image:

Table 2: Next generation sequencing of a panel of 500 gene results

Share Image:

Discussion


Malignancies arising from MCTs are rare accounting for approximately 1% of cases [1],[9]. Malignant transformation of teratomas tend to behave more aggressively than their somatic counterparts, underscoring the importance of diagnostic accuracy [10]. Here we report the first case of adenosquamous carcinoma with a porocarcinoma element arising from a mature cystic teratoma. While squamous cell carcinoma represents the vast majority, approximately 80% [1] of malignancies arising from mature teratomas, eccrine differentiation is exceptionally rare. To our knowledge, the only malignant tumor demonstrating eccrine differentiation was a reported combined tumor of squamous cell carcinoma and microcystic adnexal carcinoma [2]. Another case report documented peritoneal spread of a benign eccrine neoplasm, cylindroma, from a MCT [4]. Various skin adnexal tumors such as sebaceous carcinoma, and trichoadenoma have been found arising from teratomas [3]. The adenosquamous carcinoma in this case demonstrated zonation of squamous and poroid differentiation. Squamous areas arose in direct continuity with dysplastic squamous epithelium found within the teratoma. The squamous areas were moderately differentiated and were easily recognizable. The poroid regions were distinct from the squamous component and showed varying degrees of lumen formation. The morphology varied from classic infiltrative cords of tumor with occasional lumina, tadpole-shaped figures of epithelium with lumina, to regions of dense lumen formation. As such cases may represent a diagnostic challenge in limited biopsy specimens which would require further sampling to reveal the duel morphology. Further, histochemical and immunohistochemical staining confirmed poroid differentiation with PAS-positive secretions, CEA-positive lumina, and p63-positive epithelium without a myoepithelial population.

We found overlapping molecular alterations involving YAP1, TP53, and CDKN2A which are congruent with the overlapping morphological and immunohistochemical findings. Notably, YAP1 fusions (typically to NUTM1 and MAML2) are characteristic of porocarcinoma while YAP1 amplifications are found and functionally implicated in squamous cell carcinoma from various sites [8],[11],[12],[13]. In the present case, immunohistochemical staining for YAP1 supports nuclear localization which suggests an activation of the Hippo pathway.

This case is an exceptional example of the diversity of malignancies which may arise from an MCT and a unique case which highlights the overlapping tumor biology of keratinocytic and poroid malignancies.

Conclusion


Malignant transformation of mature cystic teratomas is rare and can be difficult to diagnose on small biopsy specimens. In the initial biopsy it was unclear that the carcinoma was arising from a mature teratoma because the biopsy specimen contained only rare clusters of malignant cells without evidence of teratoma. In the setting of metastatic disease, the benign teratoma components of an MCT will not metastasize and only after careful examination of any ovarian masses will the primary site become apparent. The initial CT scan of the left ovarian mass was suspicious for involvement by a teratoma since it identified the presence of fat and calcifications. Nevertheless, extensive sampling of the ovary was needed to identify the presence of the non-malignant component of the mature cystic teratoma. Short tandem repeat testing and next generation sequencing can aid in diagnostic confirmation that a malignancy is arising out of a mature cystic teratoma. Malignancies arising from mature cystic teratomas should be staged as a primary ovarian malignancy; therefore, confirmation of its ovarian origin is important for management.

REFERENCES


1.

Hackethal A, Brueggmann D, Bohlmann MK, Franke FE, Tinneberg HR, Münstedt K. Squamous-cell carcinoma in mature cystic teratoma of the ovary: Systematic review and analysis of published data. Lancet Oncol 2008;9(12):1173–80. [CrossRef] [Pubmed]   Back to citation no. 1  

2.

Yoon HK, Park SM, Joo JE. Combined microcystic adnexal carcinoma and squamous cell carcinoma arising in the ovarian cystic teratoma—A brief case report. J Korean Med Sci 1994;9(5):432–5. [CrossRef] [Pubmed]   Back to citation no. 1  

3.

Moulla AA, Magdy N, Francis N, Taube J, Ronnett BM, El-Bahrawy M. Rare skin adnexal and melanocytic tumors arising in ovarian mature cystic teratomas: A report of 3 cases and review of the literature. Int J Gynecol Pathol 2016;35(5):448–55. [CrossRef] [Pubmed]   Back to citation no. 1  

4.

Zembala-Noźyńska E, Lange D, Stobiecka E, et al. Peritoneal cylindromatosis – A rare teratomatous dissemination. Contemp Oncol (Pozn) 2014;18. [CrossRef]   Back to citation no. 1  

5.

Iwaoki Y, Katsube Y, Toyota N. Adenosquamous carcinoma arising in a mature cystic teratoma of the ovary: A case report and review of the literature. Asia Oceania J Obstet Gynaecol 1994;20(3):237–43. [CrossRef] [Pubmed]   Back to citation no. 1  

6.

Karateke A, Gurbuz A, Kir G, Haliloglu B, Kabaca C, Devranoglu B, Yakut Y. Mucoepidermoid variant of adenosquamous carcinoma arising in ovarian dermoid cyst: A case report and review of the literature. Int J Gynecol Cancer 2006;16 Suppl 1:379–84. [CrossRef] [Pubmed]   Back to citation no. 1  

7.

Lu CP, Polak L, Keyes BE, Fuchs E. Spatiotemporal antagonism in mesenchymal-epithelial signaling in sweat versus hair fate decision. Science 2016;354(6319):aah6102. [CrossRef] [Pubmed]   Back to citation no. 1  

8.

Russell-Goldman E, Hornick JL, Hanna J. Utility of YAP1 and NUT immunohistochemistry in the diagnosis of porocarcinoma. J Cutan Pathol 2021;48(3):403–10. [CrossRef] [Pubmed]   Back to citation no. 1  

9.

Atwi D, Kamal M, Quinton M, Hassell LA. Malignant transformation of mature cystic teratoma of the ovary. J Obstet Gynaecol Res 2022;48(12):3068–76. [CrossRef] [Pubmed]   Back to citation no. 1  

10.

Baum S, DiGregorio K, Alhassan R, Jormark S, Villella J. Management options for a patient with squamous cell carcinoma arising in a mature cystic teratoma of the ovary. J Exp Ther Oncol 2019;13(1):45–8. [Pubmed]   Back to citation no. 1  

11.

Vincent-Mistiaen Z, Elbediwy A, Vanyai H, et al. YAP drives cutaneous squamous cell carcinoma formation and progression. Elife 2018;7:e33304. [CrossRef] [Pubmed]   Back to citation no. 1  

12.

Chen N, Golczer G, Ghose S, et al. YAP1 maintains active chromatin state in head and neck squamous cell carcinomas that promotes tumorigenesis through cooperation with BRD4. Cell Rep 2022;39(11):110970. [CrossRef] [Pubmed]   Back to citation no. 1  

13.

Sekine S, Kiyono T, Ryo E, et al. Recurrent YAP1-MAML2 and YAP1-NUTM1 fusions in poroma and porocarcinoma. J Clin Invest 2019;129(9):3827–32. [CrossRef] [Pubmed]   Back to citation no. 1  

SUPPORTING INFORMATION


Author Contributions

Amar Mirza - Drafting the work, Final approval of the version to be published, Agree to be accountable for all aspects of the work in ensuring that questions related to the accuracy or integrity of any part of the work are appropriately investigated and resolved.

Cynthia A Gasper - Conception of the work, Design of the work, Revising the work critically for important intellectual content, Final approval of the version to be published, Agree to be accountable for all aspects of the work in ensuring that questions related to the accuracy or integrity of any part of the work are appropriately investigated and resolved.

Guarantor of Submission

The corresponding author is the guarantor of submission.

Source of Support

None

Consent Statement

Written informed consent was obtained from the patient for publication of this article.

Data Availability

All relevant data are within the paper and its Supporting Information files.

Conflict of Interest

Authors declare no conflict of interest.

Copyright

© 2025 Amar Mirza et al. This article is distributed under the terms of Creative Commons Attribution License which permits unrestricted use, distribution and reproduction in any medium provided the original author(s) and original publisher are properly credited. Please see the copyright policy on the journal website for more information.