Case Report


A case of myxoid variant of epithelioid mesothelioma of the peritoneum with signet ring cells: A diagnostic pitfall on fine needle aspirate cytology

,  ,  ,  

1 Department of Pathology and Laboratory Medicine, Sheikh Shakhbout Medical City, Abu Dhabi, UAE

2 Department of Radiology, Sheikh Khalifa Medical City, Abu Dhabi, UAE

3 Department of Surgery, Sheikh Shakhbout Medical City, Abu Dhabi, UAE

Address correspondence to:

Najla Saleh Ben Ghashir

Department of Pathology and Laboratory Medicine, Sheikh Shakhbout Medical City, P.O. Box 11001, Abu Dhabi,

UAE

Message to Corresponding Author


Article ID: 100093Z11NG2025

doi: 10.5348/100093Z11NG2025CR

Access full text article on other devices

Access PDF of article on other devices

How to cite this article

Ben Ghashir NS, Mohamed BA, Tawil M, Al Harthi S. A case of myxoid variant of epithelioid mesothelioma of the peritoneum with signet ring cells: A diagnostic pitfall on fine needle aspirate cytology. J Case Rep Images Pathol 2025;11(2):6–10.

ABSTRACT


The myxoid variant of epithelioid mesothelioma is a rare subtype of malignant mesothelioma. Peritoneal involvement by malignant mesothelioma is much less common than pleural involvement. We present a rare case of epithelioid mesothelioma of the peritoneum with extensive myxoid change in a 44-year-old man. The patient presented with lower abdominal pain; imaging studies revealed a pelvic mass. An ascitic fluid aspirate performed at an outside facility has been misinterpreted as a signet ring carcinoma associated with pseudomyxoma peritonei. Histologic examination of the laparoscopically obtained biopsy performed in our facility confirmed epithelioid mesothelioma with extensive areas of myxoid stroma and focal areas of classical epithelioid mesothelioma, proven by immunohistochemical studies. Although rare, the myxoid variant of mesothelioma should always be remembered and included in the differential diagnoses of myxoid lesions of the peritoneum, including pseudomyxoma peritonei. This is particularly important when dealing with a case of diffuse peritoneal-based pathology. We hope to add our case to increase knowledge and awareness of this rare entity and avoid diagnostic misinterpretation.

Keywords: Malignant mesothelioma, Myxoid, Nongynecologic cytology, Signet ring cells

Introduction


Malignant mesothelioma (MM) is a relatively rare neoplasm, most often diagnosed on cytology samples obtained through effusion aspiration. It more commonly involves the thoracic pleura and rarely the abdominal peritoneum. The myxoid variant of malignant epithelioid mesothelioma is a rare tumor subtype. To our knowledge, only four cases of this type of mesothelioma involving the peritoneum have been reported in the literature to date [1],[2]. Cytology sampling of MM can be diagnostically challenging based on cytomorphology alone because it may mimic an adenocarcinoma; particularly in the presence of epithelioid morphology, mucoid material and signet ring cells [3]. Vacuoles are found in up to 35% of aspirates of MM, but myxoid change is very rarely reported in <5% of the cases [3]. Myxoid MM is extremely rare in the peritoneal cavity; however, it should be included in the differential diagnosis of the more common myxoid abdominal lesions mimics (e.g., mucinous carcinomas or pseudomyxoma peritonei).

We report this case of a 44-year-old male with a myxoid variant of peritoneal MM. This case demonstrated abundant extracellular myxoid material and numerous intracellular vacuoles, including signet ring cells, in an ascitic fluid cytology sample misinterpreted as an adenocarcinoma. Cytopathologists should always remember this rare morphologic pattern of epithelioid MM and be willing to perform confirmatory immunohistochemical studies.

Case Report


A 44-year-old man presented to our hospital with abdominal bloating and vague abdominal pain. Computed tomography (CT) and positron emission tomography (PET) scans showed ascites and findings suggestive of diffuse peritoneal-based neoplastic pathology, likely carcinomatosis. However, no primary mass lesion or organ-specific lesion could be identified. Of note, he had already received cycles of chemotherapy for a presumed adenocarcinoma diagnosis made on aspirate cytology performed in an outside hospital. The outside cytology material was not submitted for our review. Computed tomography scan demonstrated huge ascites, with ill-defined heterogeneous intraperitoneal soft tissue densities scattered in the abdomen and pelvis; more evident at the right mid abdomen. Scattered peripheral and central peritoneal nodules were seen. A cystic lesion is present at the posteroinferior part of the right lobe of the liver.

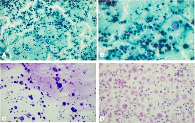
A diagnostic laparoscopy with omental and peritoneal biopsies including peritoneal washings was performed in our hospital. The cytology examination of the peritoneal washing sample showed many large epithelioid tumor cells in an abundant myxoid material. Many tumor cells appeared vacuolated with signet ring cell forms. Cytomorphology is shown in Figure 1A, Figure 1B, Figure 1C, Figure 1D.

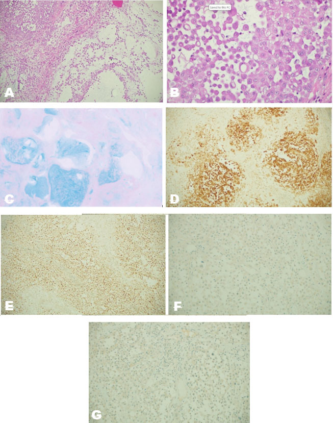
Histologically, on the tissue biopsy, the tumor consisted of medium to large epithelioid cells with moderate to abundant amounts of eosinophilic cytoplasm. Some of the tumor cells contained intracytoplasmic, clear vacuoles, imparting signet ring cell forms. The tumor cells showed irregular nuclei with coarse chromatin, and some contained prominent nucleoli. Mitotic figures were rare. Histomorphology is shown in Figure 2A and Figure 2B. The majority of the tumor cells were located within pools of extracellular myxoid background positive with Alcian Blue (pH 2.5) stain (Figure 2C). Immunohistochemically, the tumor cells showed diffuse positivity for pancytokeratins AE1/AE3, calretinin, and WT-1. The epithelial glycoprotein stains, BerEP4 and MOC31, were negative. The results of immunostaining are shown in Figure 2D, Figure 2E, Figure 2F, Figure 2G. The diagnosis was confirmed on the samples we took as a peritoneal epithelioid mesothelioma of the myxoid variant. The patient was switched from the adenocarcinoma chemotherapy he previously received abroad to palliative chemotherapy, using pemetrexed and cisplatin, for the now confirmed mesothelioma diagnosis. However, follow-up and survival data are unknown to us since the patient left for his home country.

Figure 1: (A) Pap-stained cytospin preparation (×10 magnification) showing many malignant epithelioid cells in a myxoid background. (B) Pap-stained cytospin preparation (×20 magnification) showing many malignant epithelioid cells with abundant vacuolated cytoplasm imparting a signet ring cell morphology. (C) Diff-Quik-stained cytospin preparation (×10 magnification) showing many large malignant epithelioid cells with signet ring cell forms with myxoid material in the background. (D) The H&E-stained cell block preparation (×40 magnification) with many vacuolated malignant cells featuring signet ring cell morphology.

Share Image:

Figure 2: (A) Histologic micrograph (×10 magnification) showing epithelioid neoplasm with extracellular myxoid material. (B) Histologic micrograph (×40 magnification) showing epithelioid neoplasm comprising of cells with abundant eosinophilic to vacuolated clear cytoplasm. (C) Alcian Blue histochemical stain showing abundant myxoid material. (D) The tumor cells are diffusely positive for calretinin immunostain. (E) The tumor cells are diffusely positive for WT-1 immunostain. (F) The tumor cells are negative for Ber-EP4 immunostain. (G) The tumor cells are negative for MOC31 immunostain.

Share Image:

Discussion


Malignant mesothelioma is a tumor derived from the mesothelium; commonly arising in the pleura and less commonly in the peritoneum in up to one-third of patients [4] . Histologically, MM shows marked cytoarchitectural diversity and can be of the epithelioid type which is the commonest histologic pattern, sarcomatoid or biphasic types. The epithelioid mesotheliomas were further subdivided into myxoid, microcystic, tubulopapillary, solid epithelioid, micropapillary, and pleomorphic; biphasic mesotheliomas were divided into epithelioid component dominant and sarcomatoid component dominant; pure sarcomatoid mesotheliomas were divided into not otherwise specified, leiomyoid, desmoplastic, and heterologous [5].

The myxoid variant of epithelioid mesothelioma is a rare subtype with about two dozen cases have been reported in the literature, with only 4 of these arising in the peritoneum [1]. There is no sex predilection and about half of the published cases report asbestos exposure. Histologically, the tumor consists of epithelioid cells dispersed in a myxoid background. Mitotic figures are usually inconspicuous. By immunohistochemical stains, the tumor cells typically show diffuse positivity for calretinin, WT1, D2-40, EMA (membranous) and CK5/6 while the epithelial glycoproteins MOC-31 and BerEP4 are negative [6]. The immunohistochemical staining results are confirmatory against the most important differential diagnoses which are mucinous adenocarcinoma and pseudomyxoma peritonei.

Ultrastructurally, the findings show that myxoid mesotheliomas represent a group of epithelioid mesotheliomas that have retained the secretory activity of normal mesothelium [7]. These electron microscopy findings are characterised by typical mesothelial-type surface microvilli and a moderately electron-dense extracellular amorphous material that often formed a haze enmeshing the surface microvilli, as well as hyaluronic acid-type, fern-like crystals.

Treatment decisions for peritoneal mesothelioma are individualized and depend on factors like tumor stage, patient health, and specific histological and biomarker characteristics of the tumor. For surgical candidates with localized disease, cytoreductive surgery (CRS) and intraperitoneal (IP) chemotherapy continue to remain mainstays of therapy [8]. The most common administration method of IP chemotherapy is hyperthermic intraperitoneal chemotherapy (HIPEC) upon completion of debulking; however, early postoperative IP chemotherapy after CRS is also being done, and both chemotherapy administration modalities have proven survival benefits in patients with peritoneal mesothelioma [8]. Previous data demonstrated a survival benefit with HIPEC after CRS for patients with peritoneal mesothelioma, and it is widely accepted as the standard of care in appropriately selected patients [9]. An overall survival of 34–96 months has been reported in patients who underwent a combination of surgical and chemotherapeutic therapy [10].

Systemic chemotherapy may be employed for non-surgical candidates with diffusely spread tumors or postoperative disease recurrence or progression. Combination chemotherapies, like cisplatin and pemetrexed, are frequently used. Pemetrexed-based regimens have been widely incorporated as a primary chemotherapeutic option for mesothelioma, given their improvement in overall survival [11].

Recent research found that certain biomarkers, such as BRCA1 associated protein-1 (BAP1) mutations, may be helpful not only due to their high prevalence in mesothelioma, but also because of the potential for targeted therapies [11]. Immunotherapy drugs targeting checkpoint inhibitors like anti-programmed death ligand 1 (PDL1) inhibitors [avelumab and durvalumab] and anti-cytotoxic T-lymphocyte protein 4 (CTLA-4) antibody [tremelimumab] are being actively evaluated for their promising role, especially for cases where surgery is not feasible [11]. New therapeutic avenues are being explored in various combination regimens to treat mesothelioma, including chimeric antigen receptor (CAR)-T, photodynamic, or oncolytic virus therapy [11]. SS1P is an immunotoxin that targets mesothelin surface antigen in mesothelioma, which was first discovered by researchers at the National Cancer Institute (NCI) in 1992. This antigen is expressed at low levels in healthy mesothelial cells and at high levels in almost all mesotheliomas [12]. The mesothelin pathway may have therapeutic potential, as shown by early clinical studies [13]. However, most studies on targeted therapy and immunotherapy in mesothelioma have primarily focused on pleural mesothelioma, with a limited number of patients with peritoneal mesothelioma participating.

Overall, myxoid features appear to confer a slightly improved prognosis in epithelioid mesothelioma [14]. Myxoid MM patients’ survival seems to be superior to that of epithelioid mesotheliomas in general [15]; however, this may not be entirely independent of other factors like tumor stage, differentiation grade and patients’ age [16]. Studies have shown median survival times ranging from 15 months to 36 months, with some patients surviving five years or longer [15]. Morphological phenotype is an important histological factor that should be included in pathology reports to distinguish potentially favorable prognostic subgroups of patients with mesothelioma [16]. Further research is needed to understand the long-term prognosis of the myxoid mesothelioma and to identify specific markers that can predict patients’ outcomes. Unfortunately, our patient returned to his home country, and therefore, no follow-up data is available.

Conclusion


Cytopathologists should be aware of this rare morphologic pattern of epithelioid MM, particularly in a more unusual anatomic location such as the peritoneum. There should be an emphasis on ancillary immunohistochemical studies pertinent to the diagnosis, particularly when establishing a first-time diagnosis of a peritoneal epithelioid malignancy, while the presence of mucin is by no means exclusive to peritoneal carcinomatosis.

REFERENCES


1.

Goldová B, Dundr P, Zikán M, Tomancová V. Myxoid variant of peritoneal epithelioid malignant mesothelioma. A case report. Cesk Patol 2014;50(3):149–51. [Pubmed]   Back to citation no. 1  

2.

Diaz LK, Okonkwo A, Solans EP, Bedrossian C, Rao MS. Extensive myxoid change in well-differentiated papillary mesothelioma of the pelvic peritoneum. Ann Diagn Pathol 2002;6(3):164–7. [CrossRef] [Pubmed]   Back to citation no. 1  

3.

Mishra MM, Farver CF, Chute DJ. Fine needle aspiration biopsy of metastatic malignant mesothelioma with myxoid change and signet ring cells: A case report and review of the literature. Cytojournal 2016;13:4. [CrossRef] [Pubmed]   Back to citation no. 1  

4.

Kim J, Bhagwandin S, Labow DM. Malignant peritoneal mesothelioma: A review. Ann Transl Med 2017;5(11):236. [CrossRef] [Pubmed]   Back to citation no. 1  

5.

Brcic L, Kern I. Clinical significance of histologic subtyping of malignant pleural mesothelioma. Transl Lung Cancer Res 2020;9(3):924–33. [CrossRef] [Pubmed]   Back to citation no. 1  

6.

Ordóñez NG. Value of claudin-4 immunostaining in the diagnosis of mesothelioma. Am J Clin Pathol 2013;139(5):611–9. [CrossRef] [Pubmed]   Back to citation no. 1  

7.

Shia J, Qin J, Erlandson RA, King R, Illei P, Nobrega J, et al. Malignant mesothelioma with a pronounced myxoid stroma: A clinical and pathological evaluation of 19 cases. Virchows Arch 2005;447(5):828–34. [CrossRef] [Pubmed]   Back to citation no. 1  

8.

Alexander HR Jr, Li CY, Kennedy TJ. Current management and future opportunities for peritoneal metastases: Peritoneal mesothelioma. Ann Surg Oncol. 2018;25(8):2159–64. [CrossRef] [Pubmed]   Back to citation no. 1  

9.

Sugarbaker PH, Welch LS, Mohamed F, Glehen O. A review of peritoneal mesothelioma at the Washington Cancer Institute. Surg Oncol Clin N Am 2003;12(3):605–21, xi. [CrossRef] [Pubmed]   Back to citation no. 1  

10.

Kaya H, Sezgı C, Tanrıkulu AC, Taylan M, Abakay O, Sen HS, et al. Prognostic factors influencing survival in 35 patients with malignant peritoneal mesothelioma. Neoplasma 2014;61(4):433–8. [CrossRef] [Pubmed]   Back to citation no. 1  

11.

Newland JJ, Dal Molin M, Terhune JH. An update in malignant peritoneal mesothelioma diagnosis and treatment—A narrative review. AME Surg J 2023;3:36.   Back to citation no. 1  

12.

Chang K, Pastan I. Molecular cloning of mesothelin, a differentiation antigen present on mesothelium, mesotheliomas, and ovarian cancers. Proc Natl Acad Sci U S A 1996;93(1):136–40. [CrossRef] [Pubmed]   Back to citation no. 1  

13.

Hassan R, Miller AC, Sharon E, Thomas A, Reynolds JC, Ling A, et al. Major cancer regressions in mesothelioma after treatment with an anti-mesothelin immunotoxin and immune suppression. Sci Transl Med 2013;5(208):208ra147. [CrossRef] [Pubmed]   Back to citation no. 1  

14.

Alchami FS, Attanoos RL, Bamber AR. Myxoid variant epithelioid pleural mesothelioma defines a favourable prognosis group: An analysis of 191 patients with pleural malignant mesothelioma. J Clin Pathol 2017;70(2):179–82. [CrossRef] [Pubmed]   Back to citation no. 1  

15.

Mizuhashi K, Okamoto K, Kishimoto T. A patient with epithelioid pleural mesothelioma (Myxoid variant) who survived for a long period without treatment. Respir Med Case Rep 2021;33:101381. [CrossRef] [Pubmed]   Back to citation no. 1  

16.

Pan D, Wang M, Liu W, Li Y, Sang L, Chang B. Clinical-pathological characteristics and prognostic factors for malignant peritoneal mesothelioma in the elderly. BMC Gastroenterol 2022;22(1):292. [CrossRef] [Pubmed]   Back to citation no. 1  

SUPPORTING INFORMATION


Author Contributions

Najla Saleh Ben Ghashir - Conception of the work, Design of the work, Acquisition of data, Analysis of data, Drafting the work, Revising the work critically for important intellectual content, Final approval of the version to be published, Agree to be accountable for all aspects of the work in ensuring that questions related to the accuracy or integrity of any part of the work are appropriately investigated and resolved.

Babitha Alingal Mohamed - Conception of the work, Design of the work, Acquisition of data, Analysis of data, Drafting the work, Revising the work critically for important intellectual content, Final approval of the version to be published, Agree to be accountable for all aspects of the work in ensuring that questions related to the accuracy or integrity of any part of the work are appropriately investigated and resolved.

Mohamed Tawil - Acquisition of data, Analysis of data, Drafting the work, Revising the work critically for important intellectual content, Final approval of the version to be published, Agree to be accountable for all aspects of the work in ensuring that questions related to the accuracy or integrity of any part of the work are appropriately investigated and resolved.

Salem Al Harthi - Acquisition of data, Analysis of data, Drafting the work, Revising the work critically for important intellectual content, Final approval of the version to be published, Agree to be accountable for all aspects of the work in ensuring that questions related to the accuracy or integrity of any part of the work are appropriately investigated and resolved.

Guarantor of Submission

The corresponding author is the guarantor of submission.

Source of Support

None

Consent Statement

Written informed consent was obtained from the patient for publication of this article.

Data Availability

All relevant data are within the paper and its Supporting Information files.

Conflict of Interest

Authors declare no conflict of interest.

Copyright

© 2025 Najla Saleh Ben Ghashir et al.. This article is distributed under the terms of Creative Commons Attribution License which permits unrestricted use, distribution and reproduction in any medium provided the original author(s) and original publisher are properly credited. Please see the copyright policy on the journal website for more information.