Case Report


An unusual case of ovarian high-grade carcinoma and neuroendocrine tumor: Dedifferentiated ovarian carcinoma or mixed adenocarcinoma and neuroendocrine carcinoma? Clinicopathologic features and literature review

,  ,  

1 Pathology Resident, Department of Pathology, Louisiana State University Health Sciences Center at New Orleans, New Orleans, LA 70112, USA

2 Assistant Professor, Department of Pathology, Louisiana State University Health Sciences Center at New Orleans, New Orleans, LA 70112, USA

Address correspondence to:

Ridin Balakrishnan

MD, Assistant Professor, Clinical Pathology, Department of Pathology, LSU Health Sciences Center, New Orleans, LA 70112,

USA

Message to Corresponding Author


Article ID: 100096Z11HW2025

doi: 10.5348/100096Z11HW2025CR

Access full text article on other devices

Access PDF of article on other devices

How to cite this article

Wang H, Chen Y, Balakrishnan R. An unusual case of ovarian high-grade carcinoma and neuroendocrine tumor: Dedifferentiated ovarian carcinoma or mixed adenocarcinoma and neuroendocrine tumor? Clinicopathologic features and literature review. J Case Rep Images Pathol 2025;11(2):23–29.

ABSTRACT


Introduction: Undifferentiated and dedifferentiated ovarian carcinomas are rare, aggressive neoplasms. While the dedifferentiated component may exhibit neuroendocrine differentiation, this is typically limited to less than 10% of the tumor.

Case Report: We report a unique case of a 73-year-old woman with a high-grade ovarian adenocarcinoma containing a morphologically distinct, diffusely neuroendocrine-rich component. Histologically, the tumor demonstrated two distinct patterns: a well-differentiated yet cytologically high-grade adenocarcinoma adjacent to sheets of monotonous, largely dyscohesive high-grade tumor cells with diffuse neuroendocrine marker expression. The dual morphology raised consideration of a mixed adenocarcinoma–neuroendocrine carcinoma as part of the diagnostic differential.

Conclusion: This case describes an uncommon ovarian carcinoma that shows more than 10% diffuse neuroendocrine differentiation which is not typically encountered in dedifferentiated ovarian carcinomas. The combination of high-grade adenocarcinoma with a neuroendocrine-rich component suggests a mixed adenocarcinoma–neuroendocrine carcinoma, a pattern that, to our knowledge, has not been previously documented in the ovary. These observations emphasize the importance of maintaining a broad differential diagnosis when evaluating ovarian carcinomas with prominent neuroendocrine features.

Keywords: CCNE1 gene, Dedifferentiated ovarian carcinoma, FBXW7 mutation, Mixed adenocarcinoma and endocrine carcinoma, SWI/SNF complex proteins

Introduction


Undifferentiated and dedifferentiated ovarian carcinomas (UDOC/DDOC) are uncommon but highly aggressive tumors, representing roughly 0.5% of all ovarian carcinomas. According to the current World Health Organization (WHO) classification, UDOC/DDOC is defined as an epithelial malignancy that contains an undifferentiated component lacking clear evidence of specific lineage differentiation [1],[2],[3]. Several studies have shown that the presence of even a small undifferentiated component within an otherwise low-grade carcinoma is associated with markedly poorer clinical outcomes [1].[4],[5]. In a multi-institutional cohort of 23 patients, over 80% of patients presented at FIGO stage III or IV, and the median overall survival was less than one year [4],[6]. Importantly, many of these tumors were initially misclassified as FIGO grade 2 or 3 endometrioid carcinomas, carcinosarcoma, neuroendocrine carcinoma, and non-epithelial tumors such as lymphoma, which could lead to undertreatment [1],[4],[7]. The undifferentiated component is believed to drive tumor aggressiveness, exhibiting rapid proliferation, loss of epithelial cohesion, and early metastatic potential, thereby necessitating prompt and accurate classification.

Histologically, the differentiated component is most often a high-grade serous or endometrioid carcinoma, although low-grade carcinomas, such as FIGO grade 1 or 2 endometrioid carcinoma, can also be present [8],[9]. The undifferentiated component typically appears as poorly cohesive and/or solid sheets of high-grade tumor cells lacking distinctive architectural features or characteristic immunophenotypic differentiation. These tumor cells usually exhibit only focal staining for epithelial markers such as epithelial membrane antigen (EMA), pan-cytokeratin, and CK18. PAX8 expression is often focal or entirely absent, and the tumor cells are typically negative for estrogen (ER), progesterone (PR), and show relative loss of E-cadherin. The concept of dedifferentiation in ovarian and endometrial carcinomas has gained broader recognition following studies that showed undifferentiated tumors can also exhibit focal nuclear pleomorphism and variably sized zones of rhabdoid cells within a myxoid stromal background [1],[10].

Despite these advances, DDOC is a rare and challenging diagnosis. Cases demonstrating prominent neuroendocrine differentiation are particularly uncommon, with neuroendocrine features generally restricted to focal areas of the undifferentiated component, although diffuse neuroendocrine features have been reported in cases of dedifferentiated endometrial carcinoma [7]. In previously reported series of endometrial and ovarian carcinomas with undifferentiated elements, true neuroendocrine marker expression in these cases was typically absent or focal, underscoring the importance of immunohistochemical profiling in distinguishing undifferentiated carcinoma from primary neuroendocrine neoplasms [1]. The presence of diffuse neuroendocrine differentiation within an undifferentiated component presents a significant diagnostic challenge, raising the differential diagnosis of either dedifferentiated carcinoma with neuroendocrine features or a mixed adenocarcinoma–neuroendocrine carcinoma (MANEC).

MANEC is a recognized and relatively uncommon entity in the gastrointestinal (GI) tract, defined by the presence of both adenocarcinoma and neuroendocrine components, each comprising at least 30% of the tumor [11]. MANEC occur most often in the colon, rectum [12], and pancreas [13], whereas involvement of the gynecologic tract is exceedingly rare. They are aggressive and associated with poor prognosis, particularly when the neuroendocrine component is poorly differentiated. Diagnostic criteria rely on histologic separation and immunohistochemical confirmation of both components, with treatment decisions often guided by the most aggressive histology. Reports of MANEC involving the uterus and cervix are limited, and to our knowledge, this entity has not been formally described in the ovary. The recognition of MANEC outside the GI tract is further complicated by overlapping morphologic and immunohistochemical features with other poorly differentiated neoplasms. In cases such as ours, where diffuse neuroendocrine differentiation coexists with an overt epithelial component, the possibility of a MANEC-like tumor should be considered.

Here, we present a rare case of an ovarian tumor associated with a high-grade component exhibiting widespread neuroendocrine differentiation (diffuse positivity for neuroendocrine markers, including CD56 and synaptophysin) without demonstrable expression of markers of epithelial differentiation. This case expands upon the recognized histopathologic spectrum of ovarian neoplasia. It emphasizes the importance of careful morphologic assessment and comprehensive immunophenotypic workup in establishing an accurate diagnosis providing informative guidance for clinical management. We reviewed the published reports and discussed the clinical, pathologic, and molecular findings in our case to determine whether this tumor is better classified as a DDOC or a MANEC.

Case Report


Clinical history

The patient is a 73-year-old female with a past medical history of osteoporosis, type II diabetes mellitus, hypothyroidism, and hypercholesterolemia, who presented with lower abdominal quadrant pain. The patient did not have abnormal vaginal bleeding or discharge, changes in bowel movements, or unintentional weight loss. There was no family history of gynecologic tract malignancy. Contrast-enhanced computed tomography (CT) imaging revealed a heterogeneous, enhancing pelvic mass that was inseparable from the uterus and extended toward the left of midline. The mass showed both cystic and solid components with irregular, enhancing internal septations, measuring approximately 8.1 × 8.5 cm on the axial dimension and 10.2 cm in the craniocaudal dimension. Serous tumor markers were notable for elevated cancer antigen 125 (CA125) and carcinoembryonic antigen (CEA), while carbohydrate antigen 19-9 (CA19-9) levels remained within normal limits (see Table 1).

The patient underwent radical hysterectomy, bilateral salpingo-oophorectomy, retroperitoneal lymphadenectomy to debulk enlarged lymph nodes, omentectomy, and staging biopsies.

Pathologic and immunohistochemical features

Gross examination of the left ovary, which was markedly enlarged and adherent to the left uterine cornua, revealed a yellow-tan, mass-forming lesion measuring 9.5 × 7.8 × 4.5 cm. On sectioning, the lesion appeared white-tan to yellow-tan, fleshy, and variegated, with focal areas of hemorrhage. No normal ovarian parenchyma was identified.

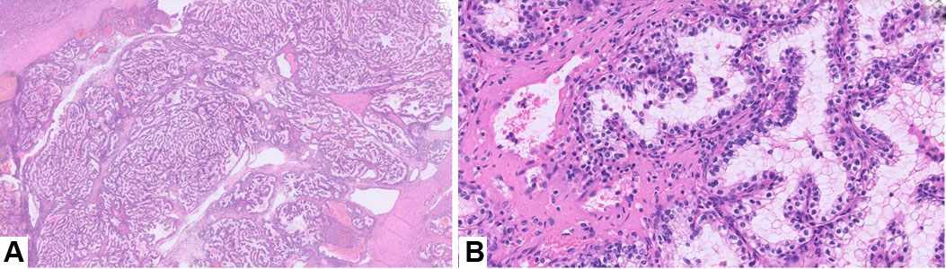
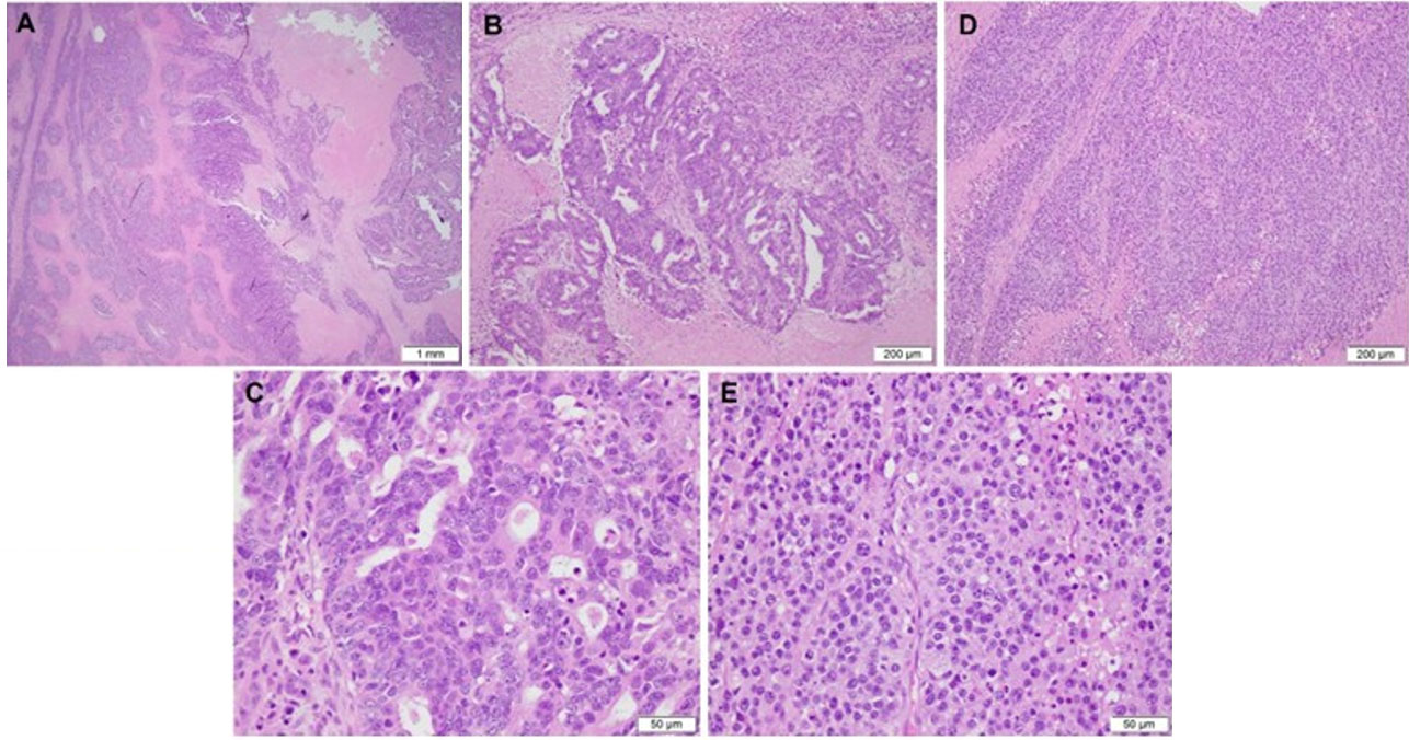
Microscopically, the lesion exhibited an infiltrative growth pattern (Figure 1A) and was composed of a component with predominant gland formation (Figure 1B and Figure 1C), along with a component consisting of solid sheets of poorly cohesive tumor cells intermixed with areas of necrosis (Figure 1D and Figure 1E). Tumor cells in both components demonstrated high nuclear grade and frequent mitotic activity (Figure 1C and Figure 1E).

The glandular component showed diffuse nuclear expression of PAX8 (Figure 2A), patchy ER (Figure 2C), and PR (Figure 2E). In contrast, tumor cells within the solid sheets displayed complete loss of PAX8 (Figure 2B), ER (Figure 2D), and PR (Figure 2F). Diffuse expression of low molecular weight cytokeratin (CAM5.2) (Figure 3A), WT-1 (Figure 3C), and membranous E-cadherin (Figure 3E) was confined to the glandular component, whereas the tumor cells in the solid sheets showed only patchy CAM5.2 positivity (Figure 3B), absence of WT-1 nuclear staining (Figure 3D), and weak to no membranous E-cadherin expression (Figure 3F). Both components exhibited aberrant cytoplasmic p53 expression (Figure 4A and Figure 4B), diffuse nuclear and cytoplasmic p16 positivity (Figure 4C and Figure 4D), and a markedly elevated Ki-67 proliferation index (>95%) (Figure 4E and Figure 4F). The tumor cells in the solid sheets, but not in the glandular component, exhibited diffuse expression of two neuroendocrine markers: CD56 (Figure 5A and Figure 5B) and synaptophysin (Figure 5C and Figure 5D).

Given the possibility of a DDOC, additional immunohistochemical stains were performed. However, both components showed retained expression of mismatch repair proteins, MLH1 (Figure 6A), PMS2 (Figure 6B), MSH2 (Figure 6C), MSH6 (Figure 6D), and showed preserved INI-1 (Figure 6E) and BRG-1 (Figure 6F) expression in viable tumor cells.

Metastasis to lymph nodes was exclusively composed of the neuroendocrine component. The nodes involved included the upper para-aortic lymph nodes, with six out of sixteen examined nodes found to be positive and the largest metastatic deposit measuring at least 26 mm.

All immunohistochemical staining was performed at University Medical Center in New Orleans using standardized protocols and appropriate controls, except for INI-1 and BRG1, which were performed at the Mayo Clinic Laboratories (Rochester, MN). Detailed information on the antibodies used for immunohistochemical staining, along with the immunophenotypic profiles of the two components, is summarized in Table 2.

Mutational analysis

To further characterize the genetic alterations in this tumor, a representative paraffin block was submitted to Myriad Genetic Laboratories (Salt Lake City, UT) for molecular profiling. The tumor demonstrated a low tumor mutation burden (TMB) of 5.5 mutations/Mb and was microsatellite stable (3.6% unstable sites). The tumor harbored pathogenic mutations in the TP53 (p. R342*) and FBXW7 (p. R465C) genes, a copy number gain in the CCNE1 gene (5 copies), and a fusion transcript involving ERBB2 and CDK12. The tumor did not show mutations in PTEN, KRAS, NTRKs, and BRCA1/2.

Table 1: Levels of tumor markers

Share Image:

Figure 1: High-grade carcinoma with two distinct morphological components. The tumor exhibits an infiltrative growth pattern (A, 2×) and consists of both glandular (B and C, 10× and 40×), and solid areas (D and E, 10× and 40×).

Share Image:

Figure 2: Distinct immunophenotypic profiles between the glandular (Upper panel) and poorly cohesive (Lower panel) components. The glandular component shows immunoreactivity for PAX8 (A, 40×), ER (C, 40×), and PR (E, 40×); In contrast, the solid sheet component lacks expression of PAX8 (B, 40×), ER (D, 40×) and PR (F, 40×).

Share Image:

Figure 3: Distinct immunophenotypic profiles between the glandular (Upper panel) and poorly cohesive (Lower panel) components. The glandular component shows strong immunoreactivity for CAM5.2 (A, 40×), WT-1 (C, 40×), and E-cadherin (E, 40×); In contrast, the solid sheet component lacks expression of CAM5.2 (B, 40×), WT-1 (D, 40×), and membranous E-cadherin (F, 40×).

Share Image:

Figure 4: Aberrant p53 and high proliferation index in both glandular (Upper panel) and poorly cohesive (Lower panel) components. Immunostaining for p53 (A, B), p16 (C, D), and ki67 (E, F) shows cytoplasmic p53, diffuse nuclear and cytoplasmic p16, and diffuse nuclear expression of ki67 in glandular (A, C, E, 40×) and solid components (B, D, F, 40×).

Share Image:

Figure 5: The poorly cohesive component demonstrates neuroendocrine differentiation. Immunostaining for CD56 (A, B) and synaptophysin (C, D) shows diffuse expression in the solid component (B, D, 40×), but no or weak expression in the glandular component (A and C, 40×).

Share Image:

Figure 6: Both components show retained nuclear expression of MMR proteins, INI-1, and BRG-1 in both glandular (Upper panel) and solid (Lower panel) components. Immunostaining for MLH1 (A, 10×), PMS2 (B, 10×), MSH2 (C, 10×), MSH6 (D, 10×), IN1 (E, 10×), and BRG-1 (F, 10×).

Share Image:

Table 2: Summary of antibodies and the immunophenotype profiles of the two components of dedifferentiated carcinoma

Share Image:

Discussion


In our case, the presence of high-grade ovarian adenocarcinoma with a morphologically distinct, neuroendocrine-rich component prompted consideration of two entities: MANEC and DDOC. Although MANEC is rare in the gynecologic tract, particularly uncommon in the ovary, it has been increasingly recognized in recent case reports [14],[15],[16],[17]. Most gynecologic MANECs reported arise from the cervix and consist of a high-grade neuroendocrine carcinoma mixed with a conventional epithelial malignancy such as endometrioid, squamous, or adenosquamous carcinoma. Notably, human papillomavirus (HPV)-negative mesonephric adenocarcinoma with high-grade neuroendocrine features has also been reported, showing overlapping genetic alterations in the two different components, therefore supporting a shared clonal origin rather than two independent tumors [14],[15].

Our case is distinct in that it represents, to our knowledge, the first reported example of an ovarian neoplasm exhibiting both a high-grade carcinoma and a diffuse neuroendocrine component, raising the possibility of a MANEC-like tumor in the ovary. Both components of MANEC should have characteristic morphologic and immunophenotypic features. For example, adenocarcinoma exhibits glandular architecture, and neuroendocrine carcinoma (NEC) should have classic high-grade morphologies, including small-cell cytology (e.g., nuclear molding and peripheral palisading), or large-cell NEC morphologies with nesting, rosette formations, abundant cytoplasm, and prominent nucleoli. In addition, both components should express carcinomatous markers, such as cytokeratin and EMA. However, the neuroendocrine component of our tumor lacks epithelial differentiation that would warrant labeling as a neuroendocrine carcinoma. Additionally, it lacks discrete, morphologically recognizable neuroendocrine features, which argue against a true MANEC instead favor a diagnosis of DDOC with neuroendocrine differentiation. Unlike the previously described DDOC, which neuroendocrine features are typically focal and comprise less than 10% of the undifferentiated component, our tumor demonstrates extensive marker expression of neuroendocrine in a morphologically distinct high-grade population, comprising approximately 30–40% of the undifferentiated component. This extent of neuroendocrine differentiation is atypical for classic DDOC and further highlights the unusual nature of this case.

Recent molecular studies have further defined dedifferentiated and undifferentiated ovarian carcinomas as highly aggressive neoplasms. These tumors are frequently characterized by loss of SWI/SNF chromatin remodeling complex proteins, including ARID1A, ARID1B, SMARCA4 (BRG1), and SMARCB1 (INI1). Mismatch repair (MMR) deficiency also occurs in a subset of cases [5],[18],[19]. Similar epigenetic patterns occur in undifferentiated carcinomas of the GI tract. These tumors are aggressive and often lose SMARCA4 and SMARCA2 expression and exhibit reduced epithelial marker expression. This overall finding points to a shared dedifferentiation pathway across different tissue types [20].

In our case, the tumor cells showed retained BRG1 and INI1, with all MMR proteins intact. This suggests that the classic SWI/SNF-deficient or MMR-deficient pathways are not involved in the dedifferentiation. Instead, molecular testing revealed a TP53 mutation, a pathogenic FBXW7 mutation, copy number gain of cyclin E1 (CCNE1), and an ERBB2-CDK12 fusion transcript. FBXW7 loss-of-function and CCNE1 gain have recently been reported in tumor progression in high-grade serous ovarian carcinoma by dysregulation of the CCNE1 degradation. Tumors in the CCNE1-amplified group showed reduced FBXW7 expression, marked genomic instability, and poorer outcomes [18],[21],[22], findings that align with our case, which presented at a high-stage tumor with lymph node metastasis. Emerging data from endometrial carcinoma studies suggest that the development of an undifferentiated phenotype with diffuse neuroendocrine features may be driven by additional molecular events, such as CCNE1 dysregulation and FBXW7 mutation.

This case also highlights the diagnostic challenges and molecular heterogeneity of diffuse neuroendocrine differentiation of DDOC. Although the findings expand upon the known histologic and immunophenotypic spectrum of this uncommon tumor type, several limitations warrant acknowledgement. The molecular testing was performed on bulk tumors and not separately on the differentiated and undifferentiated components, limiting our ability to determine component-specific alterations. In addition, ARID1A and ARID1B, core SWI/SNF complex members frequently altered in dedifferentiated carcinomas, were not specifically tested due to resource constraints; evaluation of these markers should be included in future cases. Given their well-studied roles in the dedifferentiation of endometrial and ovarian carcinomas, further assessment may have provided additional insights into the tumor’s pathogenesis [5].

Conclusion


In summary, this case describes an uncommon ovarian high-grade carcinoma characterized by a high-grade well-differentiated component and morphologically distinct, diffusely neuroendocrine-rich dedifferentiated component. The degree of neuroendocrine differentiation exceeds those typically observed in conventional DDOC. This observation challenges existing diagnostic criteria and suggests the potential presence of a MANEC-like tumor in the ovary. Molecular analysis reveals CCNE1 dysregulation and an FBXW7 mutation, indicating that tumor progression occurs through alternative pathways beyond the canonical SWI/SNF-deficient or mismatch repair (MMR)-deficient mechanisms.

REFERENCES


1.

Tafe LJ, Garg K, Chew I, Tornos C, Soslow RA. Endometrial and ovarian carcinomas with undifferentiated components: Clinically aggressive and frequently underrecognized neoplasms. Mod Pathol 2010;23(6):781–9. [CrossRef] [Pubmed]   Back to citation no. 1  

2.

Köbel M, Kalloger SE, Huntsman DG, Santos JL, Swenerton KD, Seidman JD, et al. Differences in tumor type in low-stage versus high-stage ovarian carcinomas. Int J Gynecol Pathol 2010;29(3):203–11. [CrossRef] [Pubmed]   Back to citation no. 1  

3.

McCluggage WG, Singh N, Gilks CB. Key changes to the World Health Organization (WHO) classification of female genital tumours introduced in the 5th edition (2020). Histopathology 2022;80(5):762–78. [CrossRef] [Pubmed]   Back to citation no. 1  

4.

Abdelrahman AM, Yin J, Alva-Ruiz R, Yonkus JA, Leiting JL, Lynch IT, et al. Mixed acinar neuroendocrine carcinoma of the pancreas: Comparative population-based epidemiology of a rare and fatal malignancy in the United States. Cancers (Basel) 2023;15(3):840. [CrossRef] [Pubmed]   Back to citation no. 1  

5.

Coatham M, Li X, Karnezis AN, Hoang LN, Tessier-Cloutier B, Meng B, et al. Concurrent ARID1A and ARID1B inactivation in endometrial and ovarian dedifferentiated carcinomas. Mod Pathol 2016;29(12):1586–93. [CrossRef] [Pubmed]   Back to citation no. 1  

6.

Tessier-Cloutier B, Kommoss FKF, Kolin DL, Němejcová K, Smith D, Pors J, et al. Dedifferentiated and undifferentiated ovarian carcinoma: An aggressive and molecularly distinct ovarian tumor characterized by frequent SWI/SNF complex inactivation. Mod Pathol 2024;37(1):100374. [CrossRef] [Pubmed]   Back to citation no. 1  

7.

Espinosa I, De Leo A, D’Angelo E, Rosa-Rosa JM, Corominas M, Gonzalez A, et al. Dedifferentiated endometrial carcinomas with neuroendocrine features: A clinicopathologic, immunohistochemical, and molecular genetic study. Hum Pathol 2018;72:100–106. [CrossRef] [Pubmed]   Back to citation no. 1  

8.

Rouzbahman M, Clarke B. Neuroendocrine tumors of the gynecologic tract: Select topics. Semin Diagn Pathol 2013;30(3):224–33. [CrossRef] [Pubmed]   Back to citation no. 1  

9.

Silva EG, Deavers MT, Bodurka DC, Malpica A. Association of low-grade endometrioid carcinoma of the uterus and ovary with undifferentiated carcinoma: A new type of dedifferentiated carcinoma? Int J Gynecol Pathol 2006;25(1):52–8. [CrossRef] [Pubmed]   Back to citation no. 1  

10.

Connolly C, Ó Riain C. Undifferentiated and dedifferentiated carcinoma of the endometrium. Int J Gynecol Cancer 2023;33(6):1003–4. [CrossRef] [Pubmed]   Back to citation no. 1  

11.

Jiang C, Yao H, Zhang Q, Shi H, Lin R. Clinicopathological characteristics of mixed neuroendocrine-non-neuroendocrine neoplasms in gastrointestinal tract. Pathol Res Pract 2023;243:154373. [CrossRef] [Pubmed]   Back to citation no. 1  

12.

Brathwaite SA, Smith SM, Wai L, Frankel W, Hays J, Yearsley MM, et al. Mixed adenoneuroendocrine carcinoma: A review of pathologic characteristics. Hum Pathol 2018;73:184–91. [CrossRef] [Pubmed]   Back to citation no. 1  

13.

Qiu S, Pellino G, Warren OJ, Mills S, Goldin R, Kontovounisios C, et al. Mixed adenoneuroendocrine carcinoma of the colon and rectum. Acta Chir Belg 2018;118(5):273–7. [CrossRef] [Pubmed]   Back to citation no. 1  

14.

Cavalcanti MS, Schultheis AM, Ho C, Wang L, DeLair DF, Weigelt B, et al. Mixed mesonephric adenocarcinoma and high-grade neuroendocrine carcinoma of the uterine cervix: Case description of a previously unreported entity with insights into its molecular pathogenesis. Int J Gynecol Pathol 2017;36(1):76–89. [CrossRef] [Pubmed]   Back to citation no. 1  

15.

Su X, Zhou X, Xiao C, Peng W, Wang Q, Zheng Y. Complete response to immunotherapy combined with chemotherapy in a patient with gynecological mixed cancer mainly composed of small cell neuroendocrine carcinoma with high tumor mutational burden: A case report. Front Oncol 2022;12:750970. [CrossRef] [Pubmed]   Back to citation no. 1  

16.

Giordano G, D’Adda T, Pizzi S, Campanini N, Gambino G, Berretta R. Neuroendocrine small cell carcinoma of the cervix: A case report. Mol Clin Oncol 2021;14(5):92. [CrossRef] [Pubmed]   Back to citation no. 1  

17.

Galanis I, Floros G, Bompoula MS, Theodoropoulos C. Mixed large cell neuroendocrine carcinoma of the ovary: Report of a rare case. Case Rep Obstet Gynecol 2020;2020:8896070. [CrossRef] [Pubmed]   Back to citation no. 1  

18.

Akpoigbe K, Culpepper-Morgan J, Nwankwo O, Genao A. Predicting gastric intestinal metaplasia in a high-risk population. Cureus 2022;14(11):e31502. [CrossRef] [Pubmed]   Back to citation no. 1  

19.

Tessier-Cloutier B, Coatham M, Carey M, Nelson GS, Hamilton S, Lum A, et al. SWI/SNF-deficiency defines highly aggressive undifferentiated endometrial carcinoma. J Pathol Clin Res 2021;7(2):144–53. [CrossRef] [Pubmed]   Back to citation no. 1  

20.

Chang B, Sheng W, Wang L, Zhu X, Tan C, Ni S, et al. SWI/SNF complex-deficient undifferentiated carcinoma of the gastrointestinal tract: Clinicopathologic study of 30 cases with an emphasis on variable morphology, immune features, and the prognostic significance of different SMARCA4 and SMARCA2 subunit deficiencies. Am J Surg Pathol 2022;46(7):889–906. [CrossRef] [Pubmed]   Back to citation no. 1  

21.

Nakayama N, Nakayama K, Shamima Y, Ishikawa M, Katagiri A, Iida K, et al. Gene amplification CCNE1 is related to poor survival and potential therapeutic target in ovarian cancer. Cancer 2010;116(11):2621–34. [CrossRef] [Pubmed]   Back to citation no. 1  

22.

Aziz D, Etemadmoghadam D, Caldon CE, Au-Yeung G, Deng N, Hutchinson R, et al. 19q12 amplified and non-amplified subsets of high grade serous ovarian cancer with overexpression of cyclin E1 differ in their molecular drivers and clinical outcomes. Gynecol Oncol 2018;151(2):327–36. [CrossRef] [Pubmed]   Back to citation no. 1  

SUPPORTING INFORMATION


Acknowledgments

The authors state that no AI-generated data have been used in the manuscript preparation. The grammar of the manuscript has been checked using the online Grammarly.

Author Contributions

Haibo Wang - Conception of the work, Design of the work, Acquisition of data, Analysis of data, Drafting the work, Revising the work critically for important intellectual content, Final approval of the version to be published, Agree to be accountable for all aspects of the work in ensuring that questions related to the accuracy or integrity of any part of the work are appropriately investigated and resolved.

Yaomin Chen - Acquisition of data, Drafting the work, Final approval of the version to be published, Agree to be accountable for all aspects of the work in ensuring that questions related to the accuracy or integrity of any part of the work are appropriately investigated and resolved.

Ridin Balakrishnan - Conception of the work, Design of the work, Acquisition of data, Drafting the work, Revising the work critically for important intellectual content, Final approval of the version to be published, Agree to be accountable for all aspects of the work in ensuring that questions related to the accuracy or integrity of any part of the work are appropriately investigated and resolved.

Guarantor of Submission

The corresponding author is the guarantor of submission.

Source of Support

None

Consent Statement

Written informed consent was obtained from the patient for publication of this article.

Data Availability

All relevant data are within the paper and its Supporting Information files.

Conflict of Interest

Authors declare no conflict of interest.

Copyright

© 2025 Haibo Wang et al. This article is distributed under the terms of Creative Commons Attribution License which permits unrestricted use, distribution and reproduction in any medium provided the original author(s) and original publisher are properly credited. Please see the copyright policy on the journal website for more information.