Clinical Image


A particular form of inflammatory pseudotumor of the lung: The plasma cell granuloma

,  

1 Department of Pathology, Avicenne, Ibn Sina University Hospital, Faculty of Medicine and Pharmacy of Rabat, Mohammed V University, 10100 Rabat, Morocco

2 Department of Pathology, Mohammed V University in Rabat, Rabat, Morocco

Address correspondence to:

El Ghaffouli Sara

Department of Pathology, Avicenne, IbnSina University Hospital, Faculty of Medicine and Pharmacy of Rabat, Mohammed V University, 10100 Rabat,

Morocco

Message to Corresponding Author


Article ID: 100091Z11ES2025

doi: 10.5348/100091Z11ES2025CI

Access full text article on other devices

Access PDF of article on other devices

How to cite this article

Sara EG, Siham M. A particular form of inflammatory pseudotumor of the lung: The plasma cell granuloma. J Case Rep Images Pathol 2025;11(1):35–37.

ABSTRACT


No Abstract

Keywords: Inflammatory pseudotumor, Lung, Plasma cell granuloma

Case Report


We report the case of a 14-year-old patient hospitalized for evaluation of chronic dry cough evolving over several months, associated with episodes of hemoptysis. This condition developed in the context of an afebrile state and preserved general health, with a round opacity observed in the left basal lung on imaging. Given the clinical and radiological presentation, which suggested a diagnosis of tuberculosis infection—a common infectious disease in endemic areas—and hydatid disease, frequently encountered in regions with livestock exposure, or tumor lesion, surgical excision was performed. Macroscopically, the lesion appeared as a nodular mass measuring 3.5 4.3 × 4.5 cm, well-defined, non-encapsulated, yellowish-white, friable, and filling the bronchial lumens (Figure 1).

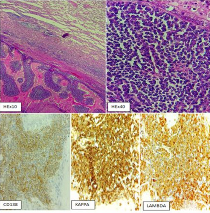
Microscopic examination revealed a dense inflammatory infiltrate composed of mature plasma cells flooding the interstitial tissue and alveolar structures, occasionally associated with sparse fibroblasts and myofibroblasts. Immunohistochemical analysis confirmed the polyclonality of the plasma cell infiltrate (Figure 2). This lesion was ultimately diagnosed as a plasma cell granuloma of the lung.

Figure 1: A nodular mass well-defined, non-encapsulated, yellowish-white, friable, and filling the bronchial lumens.

Share Image:

Figure 2:
• Histological section stained with Hematoxylin and Eosin (H&E) showing a dense inflammatory infiltrate composed of mature plasma cells flooding the interstitial tissue and alveolar structures, occasionally associated with sparse fibroblasts and myofibroblasts (HE×10, HE×40).
• Immunohistochemistry (IHC) demonstrating the polyclonality of plasma cells with positive staining for kappa (κ) and lambda (λ) light chains (magnification ×40).

Share Image:

Discussion


Inflammatory pseudotumor (IPT) is a non-neoplastic lesion, with a definitive diagnosis established through histological examination [1]. It is mainly composed of polyclonal plasma cells, along with scattered macrophages and eosinophils, within a delicate stromal background of fibroblasts and myofibroblasts [1],[2]. This rare histological entity has an unknown pathogenesis and can affect various organs, most commonly the lung [3]. It predominantly occurs in children and young adults [2]. The clinical and radiological features are nonspecific, often mimicking infectious or neoplastic processes.

Histopathological analysis is essential for diagnosis. Immunohistochemistry confirms the polyclonality of plasma cells, ruling out plasmacytoma and supporting the diagnosis of an inflammatory pseudotumor [1].

Conclusion


In conclusion, plasma cell granuloma of the lung, although benign, can closely mimic malignant bronchopulmonary tumors clinically and radiologically, particularly in pediatric patients. Accurate diagnosis through histological and immunohistochemical analysis is essential to avoid unnecessary aggressive treatments. Complete surgical excision offers an excellent prognosis, underscoring the importance of distinguishing this entity from malignancies to guide appropriate management.

REFERENCES


1.

Urschel JD, Horan TA, Unruh HW. Plasma cell granuloma of the lung. J Thorac Cardiovasc Surg 1992;104(4):870–5. [Pubmed]   Back to citation no. 1  

2.

Goto T, Akanabe K, Maeshima A, Kato R. Surgery for recurrent inflammatory pseudotumor of the lung. World J Surg Oncol 2011;9:133. [CrossRef] [Pubmed]   Back to citation no. 1  

3.

Bousnina S, Racil H, Marniche K, et al. Inflammatory pseudo-tumor of the lung. A pathology clinical study of one case. [Article in French]. Rev Pneumol Clin 2004;60(1):55–7. [CrossRef] [Pubmed]   Back to citation no. 1  

SUPPORTING INFORMATION


Author Contributions

El Ghaffouli Sara - Conception of the work, Design of the work, Acquisition of data, Analysis of data, Drafting the work, Revising the work critically for important intellectual content, Final approval of the version to be published, Agree to be accountable for all aspects of the work in ensuring that questions related to the accuracy or integrity of any part of the work are appropriately investigated and resolved.

Mesmoudi Siham - Conception of the work, Design of the work, Acquisition of data, Analysis of data, Drafting the work, Revising the work critically for important intellectual content, Final approval of the version to be published, Agree to be accountable for all aspects of the work in ensuring that questions related to the accuracy or integrity of any part of the work are appropriately investigated and resolved.

Guarantor of Submission

The corresponding author is the guarantor of submission.

Source of Support

None

Consent Statement

Written informed consent was obtained from the patient for publication of this article.

Data Availability

All relevant data are within the paper and its Supporting Information files.

Conflict of Interest

Authors declare no conflict of interest.

Copyright

© 2025 El Ghaffouli Sara et al. This article is distributed under the terms of Creative Commons Attribution License which permits unrestricted use, distribution and reproduction in any medium provided the original author(s) and original publisher are properly credited. Please see the copyright policy on the journal website for more information.